Гигиена полости рта
Существенное влияние на результат терапевтических мероприятий оказывает профессиональная чистка, удаляющая камни и налет, образовавшиеся на зубах. В клинике «Интердентос» в Щелково эту процедуру выполняет квалифицированный стоматолог-гигиенист, используя только современное оборудование и качественные препараты.
Как проводится профессиональная гигиена полости рта?
Гигиеническая чистка происходит в следующем порядке:
- удаление образовавшихся камней
- затем ликвидируется образовавшийся налет
Для решения поставленной задачи используют специальный звуковой скайлер, который не вызывает болезненных ощущений у пациента. Кроме того, устройство не наносит вреда зубной эмали. За счет колебательных движений камни сбиваются. После завершения процедуры, специалист переходит к удалению налета.
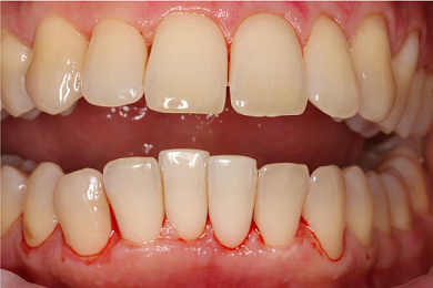
Оптимальные результаты достигаются с помощью порошкового-струйного воздействия Air-flow. Аэрозоль убирает темный налет. Как результат, зубы становятся светлее на пару тонов. Чтобы снизить чувствительность очищенной эмали, ее покрывают специальным гелем или лаком с содержанием фтора.
Средняя продолжительность всего процесса - от получаса до полутора. Однако на этом работа специалиста не заканчивается.
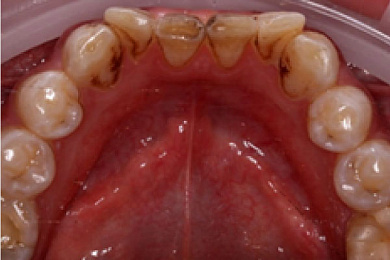
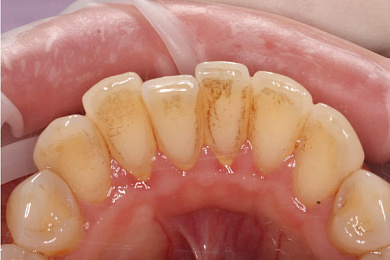
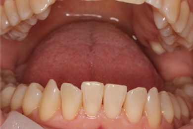
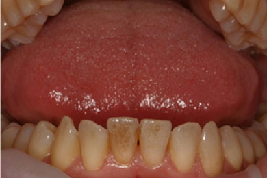
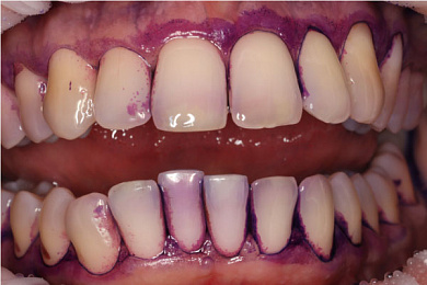
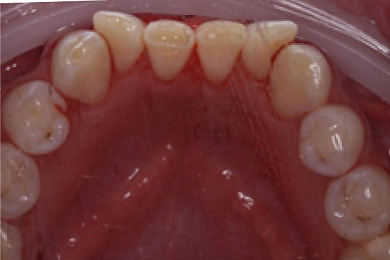
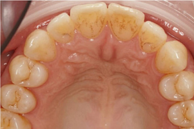
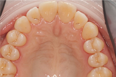
Гигиена полости рта - Фото До и После
Статьи
Врачи гигиенисты
Цены на гигиену полости рта
Наши лицензии:
Почему на зубах появляются отложения
При неудовлетворительном гигиеническом уходе на зубах образуются бляшки. Начинает скапливаться налет, который со временем разрастается по всему зубу, и под действием продуктов распада и микрофлоры он минерализуется (становится твердым).
Для чего нужна профессиональная чистка
Перед хирургическим вмешательством, ортопедическим или терапевтическим лечением выполнение чистки от зубного налета или камней является обязательной процедурой. В последнем случае специалисту легче запломбировать область, пораженную кариесом в любой стадии развития. Процедура проводится максимально быстро и не требует повторного посещения, при этом удается подобрать материалы в цвет эмали, чтобы визуально не наблюдалось никаких различий.
Не менее важна профессиональная чистка и в процессе изготовления несъемных конструкций.
В пародонтологии чистка позволяет снять воспаление, сократить время, требующееся на консервативные мероприятия и подготовительные процедуры перед операцией. Периодическое проведение чистки не дает камню проникать дальше в зуб, а также не дает образоваться глубоким зубодесневым карманам.
Профессиональная чистка имплантов убирает микробный налет, что очень важно для эффективности проведенной имплантации.
Проведение профессиональной гигиены
Гигиеническая чистка происходит в следующем порядке: удаление образовавшихся камней, затем ликвидируется образовавшийся налет. Для решения поставленной задачи используют специальный звуковой скайлер, который не вызывает болезненных ощущений у пациента. Кроме того, устройство не наносит вреда зубной эмали. За счет колебательных движений камни сбиваются. После завершения процедуры, специалист переходит к удалению налета.
Оптимальные результаты достигаются с помощью порошкового-струйного воздействия Air-flow. Аэрозоль убирает темный налет. Как результат, зубы становятся светлее на пару тонов. Чтобы снизить чувствительность очищенной эмали, ее покрывают специальным гелем или лаком с содержанием фтора.
Средняя продолжительность всего процесса - от получаса до полутора. Однако на этом работа специалиста не заканчивается.
Как профилактика поможет в борьбе с кариесом
Чтобы бороться с возникновением кариеса, ремтерапия является одним из самых эффективных способов. Благодаря реминерализации, эмаль насыщается необходимыми минеральными веществами, помогающими в должной степени восстановить структуру зуба. В работе используются составы, в состав которых входят кальций и фосфор. Чтобы повысить эффективность в комплексе используют фторидосодержащие вещества.
В каких случаях без профессиональной чистки не обойтись
Среди основных показаний для проведения ремтерапии можно выделить:
- Кариес у взрослых пациентов или детей. Применяется непосредственно пломбированием и восстановлением эмали. Помогает продлить время эксплуатации пломб.
- Для проведения профилактических мероприятий. Полезно для детей, поскольку эмаль еще не успела созреть в полной мере, а также женщинам «в положении» помогает вернуть прочность и устойчивость к негативным внешним факторам.
- Уменьшение чувствительности, благодаря укреплению эмали и восстановлению ее структуры.
- Когда кариес только начинается (появилось белое пятно). Поврежденные участки получают необходимые минеральные вещества, в связи с чем белое пятно становится меньше или же вовсе исчезает.
- Помогает справиться с некариозными недугами. Ослабленные и даже поврежденные участки эмали укрепляются, появляется здоровый блеск.
- В процессе отбеливания и по его завершении. Снижается риск возникновения кариеса, чувствительность приходит в норму, происходит стабилизация полученных результатов после отбеливания.
- Для терапии кариеса на начальных стадиях и профилактики недуга в процессе ортодонтического лечения.
Процедуру профессиональной чистки вы можете доверить нашим докторам или выполнить её дома. Для этого в нашем ассортименте представлен большой выбор препаратов для ремтерапии от известных и надежных производителей. Звоните, чтобы подобрать подходящее время визита к врачу или купить интересующие средства! Качество гарантируем!
Отзывы наших пациентов:
От результата пребываю в восторге, как-будто начался новый этап жизни.
Цена оправдывает качество.
Обязательно стану постоянным клиентом, уже запланировал дальнейшее лечение.
за внимательность, и понятные и доступные рекомендации после процедуры. добра и благополучия.



группа Вконтакте
канал в Телеграм

Клиника уровня «Эксперт»
с 8:00 до 21:00, ежедневно