Реставрация молочных зубов
Молочные зубки у детей, хоть и временные, но их состояние может оказывать влияние в нескольких областях здоровья ребенку и снижать его качество жизни. Перечислим возможные последствия, если не лечить молочные зубы:
Почему нужно лечить и восстанавливать молочные зубы?
- Нарушения дикции у ребенка
- Риск нарушения прикуса
- Поражение здоровых, коренных зубов микробами
- Сложности с пережевыванием пищи, что ведет нарушение режима питания
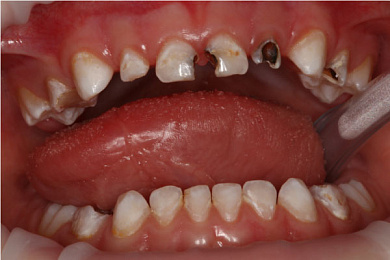
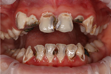
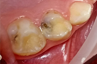
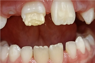
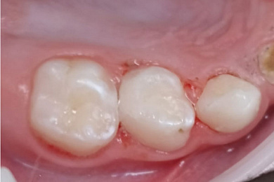
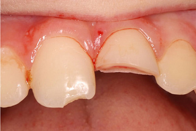
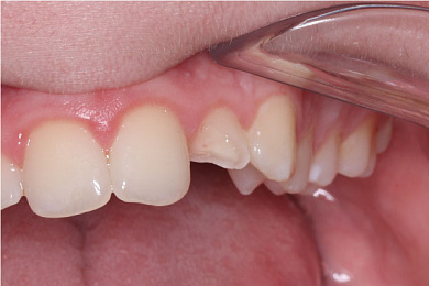
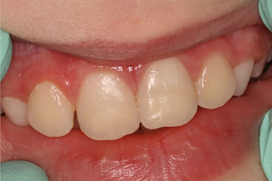
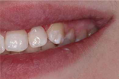
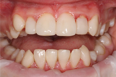
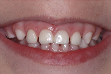
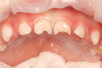
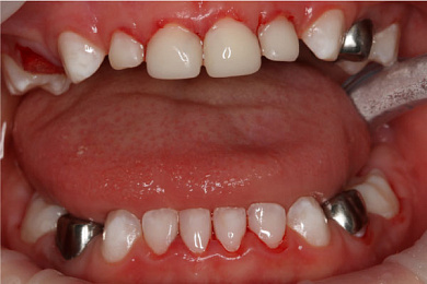
Примеры лечения зубов:
Статьи
Врачи направления:
Цены:
Наши лицензии:
Наши врачи вначале определят степень разрушения зубов, целесообразность тех или иных процедур, ведь важен не только эстетический вид зубок, но и возможность полноценно переносить жевательные нагрузки после реставрации.
Сама реставрация молочных зубов может производиться различными способами, от композитным пломб, где индивидуально подбирается состав самой пломбы, учитывая естественную истираемость детской эмали зубов, до коронок на молочные зубы, которые используются при серьезных разрушениях и потери функциональности зуба.



группа Вконтакте
канал в Телеграм

