Лечение кариеса молочных зубов
Мы лечим детей по современным международным стандартам, используя передовые методы и материалы. Лечение проводим комфортно и безболезненно.
Опасность кариеса молочных зубов:
Родители часто нас спрашивают: «Можно ли не лечить детский кариес молочных зубов? Ведь они все равно выпадут?» Отвечаем: лечить молочные зубы детям необходимо по многим причинам:
- "Детский" кариес – это самая настоящая инфекция, которая может распространиться и на постоянные зубы ребенка, если не начать лечение молочных зубов.
- Зубы у детей болят точно так же, как и постоянные – у взрослых.
- Дети обращают внимание на внешность– ребенок с разрушенными зубами часто подвергается насмешкам сверстников.
- Разрушенные или отсутствующие зубы ведут к логопедическим дефектам - речь ребенка нарушается.
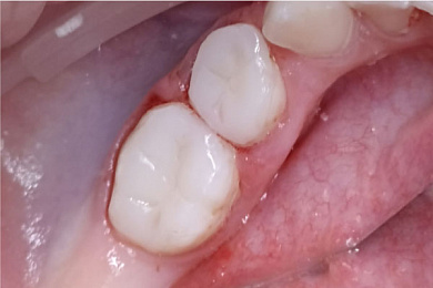
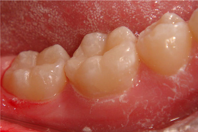
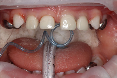
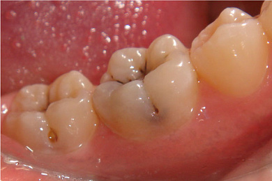
Примеры лечения зубов:
Статьи
Врачи направления:
Цены:
Наши лицензии:
Процедура лечения кариеса у детей имеет отличия из-за особенностей строения и специфики молочных зубов. Детскому врачу-стоматологу необходимо учитывать истирание пломбы наряду со здоровыми тканями молочного зуба а также особенности каждого конкретного случая.
Также, если кариес лишь поверхностно затронул больной зуб возможно обойтись вообще без установки пломб, благодаря технологии лечения кариеса без сверления - ICON, когда специальный состав наносится на пораженный участок и уничтожает очаги кариеса, укрепляя ткани зуба в этих местах и препятствуя его возникновению в будущем.
Отзывы наших пациентов:




группа Вконтакте
канал в Телеграм


Клиника уровня «Эксперт»
с 8:00 до 21:00, ежедневно