Лечение дёсен в Щелково
Пародонт — комплекс тканей, окружающих зуб. К ним относится костная стенка лунки зуба, поверхность корня зуба, сосуды, нервы, связки, фиксирующие зуб в лунке, эпителиальное десневое прикрепление. Десна, строго говоря, не относится к тканям пародонта, а относится к укрывным тканям. Но «укрывает» она именно пародонт и поэтому является ярким индикатором его состояния. Если десна здорова — с пародонтом все в порядке. По этой причине болезни пародонта часто называют болезнями десен.
Преимущества лечения в «Интердентос»
Ткани пародонта изначально стерильны. Воспалительный процесс в пародонте начинается только при наличии бактерий. Нет бактерий — нет воспаления. Главный фактор, который способствует их активному размножению, — это скопление зубного налета и образование зубного камня под десной.
Как правило, это прямое следствие недостаточно эффективной домашней гигиены. Регулярная профилактическая чистка не способна исправить ситуацию, поскольку врач-гигиенист не чистит пародонтальные карманы. Также распространенными факторами риска являются травмирующие десну коронки (в большинстве случаев это дефект коронки) и неправильно установленные пломбы.
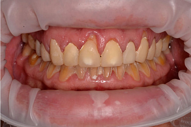
Примеры лечения зубов:
Врач: Козлов Игорь Витальевич
Врачи направления:
Цены на лечение десен
Наши лицензии:
Эффективное лечение дёсен в Щелково.
Пародонт удерживает зуб в костной лунке, отвечает за его стабильность и устойчивость к нагрузкам. Также через ткани пародонта происходит питание, обновление корня зуба.
Мы предлагаем реально работающую программу, в эффективности которой мы абсолютно уверены. Речь, естественно, не идет о полном излечении. Наша цель — существенное восстановление тканей и устойчивая ремиссия. Стабильная первая стадия вместо второй, вторая вместо третьей — это уже хороший результат. Для многих зубов это означает дополнительные десятки лет жизни. Честно предупредим, что не все зубы в крайней стадии пародонтита можно спасти. Оперативное удаление в некоторых случаях неизбежно и часто является единственной возможностью сохранить максимум костной ткани для последующей имплантации.

группа Вконтакте
канал в Телеграм
