Ежедневно с 8:00 до 21:00

+7 (495) 645-69-69

ул. Советская, д. 60

+7 (495) 104-42-00

Отдел качества

+7 (495) 801-68-68

Общий телефон

+7 (495) 645-69-69

ул. Советская, д. 60

+7 (495) 104-42-00

Отдел качества

Ежедневно с 8:00 до 21:00

Взрослая стоматология
Детская стоматология
Косметология
+7 (495) 801-68-68

Общий телефон

+7 (495) 645-69-69

ул. Советская, д. 60

+7 (495) 104-42-00

Отдел качества

Взрослая стоматология
Детская стоматология
Косметология

Стоматолог детский

Ольшанская Валентина Ивановна

  • Владеет методиками адаптации детей с тяжелыми фобиями
  • Проводит лечение в наркозе, в седации (закись азота)
  • Специалист по лечению травмы зубов
Ольшанская Валентина Ивановна
Валентина Ивановна замечательный специалист с большим опытом в детской стоматологии - 15 лет.

Умение доктора проводить лечение, как под наркозом, так и под седацией, помогает родителям и детям чувствовать себя более комфортно и уверенно во время посещения стоматолога. Доктор прекрасно владеет всеми техниками лечения молочных зубов, берется за самые сложные случаи. 
Свой прием доктор проводит в игровой форме - это не только эффективный способ сделать посещение стоматолога более приятным для детей, но и способ построить доверительные отношения с маленькими пациентами.

У доктора большой процент пациентов по рекомендации, это - прекрасное свидетельство ее профессионализма и заботы о маленьких пациентах.

Стаж работы

29 лет

Принимает клиниках

  • Клиника в г. Щелково

Специализация

  • Стоматолог детский

Сертификаты

1204
1205
1206
1207
1208
1209

Отзывы по врачу

Читать все отзывы

Врач: Ольшанская Валентина Ивановна

Обратилась к Валентине Ивановне с проблемой кариеса у моего пятилетнего сына. Я всегда боялась, что детям сложно найти хорошего стоматолога, который сможет объяснить всё доступно и не напугает ребёнка. Однако Валентина Ивановна сразу завоевала довери...
Обратилась к Валентине Ивановне с проблемой кариеса у моего пятилетнего сына. Я всегда боялась, что детям сложно найти хорошего стоматолога, который сможет объяснить всё доступно и не напугает ребёнка. Однако Валентина Ивановна сразу завоевала доверие как моё, так и моего сына. Она очень терпеливо выслушала наши жалобы, внимательно осмотрела зубы малыша и предложила эффективное лечение.

Процедура прошла максимально комфортно — врач аккуратно работала с зубами, постоянно контролируя, чтобы сын не испытывал дискомфорта. Особенно мне понравилось, как она объяснила все этапы лечения простым языком, даже для ребенка. После лечения чувствую себя увереннее в здоровье зубов моего сына.

Валентина Ивановна также дала нам полезные советы по уходу за молочными зубами дома и рассказала, как правильно чистить зубы ребенку. Теперь мы регулярно приходим на профилактические осмотры, и это действительно помогает поддерживать здоровье зубов на высоком уровне. Спасибо врачу за профессионализм и заботу!
Показать весь отзыв

Врач: Ольшанская Валентина Ивановна

Огромная благодарность опыту и профессионализму Валентины Ивановны. Ее терпение по отношению к беспокойным детям заслуживает ордена, как минимум))
Очень советую к ней обратится, если Ваш ребенок по какой-либо причине очень боится зубны...
Огромная благодарность опыту и профессионализму Валентины Ивановны. Ее терпение по отношению к беспокойным детям заслуживает ордена, как минимум))
Очень советую к ней обратится, если Ваш ребенок по какой-либо причине очень боится зубных врачей и не дает ничего делать.  Она быстро находит подход, даже, казалось бы, к самым неприступным маленьким пациентам)))
Показать весь отзыв

Врач: Ольшанская Валентина Ивановна

Огромное спасибо Валентине Ивановне за отличную профессиональную работу. Наконец-то я нашла хорошего врача для ребенка. И подход к нему с лёгкостью нашла и работу безупречно сделала!...
Огромное спасибо Валентине Ивановне за отличную профессиональную работу. Наконец-то я нашла хорошего врача для ребенка. И подход к нему с лёгкостью нашла и работу безупречно сделала!
Показать весь отзыв

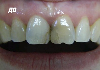
Работы врача

Фото ДО
Фото ПОСЛЕ

Наведите для просмотра

Протезирование коронками

Фото ДО
Фото ПОСЛЕ

Наведите для просмотра

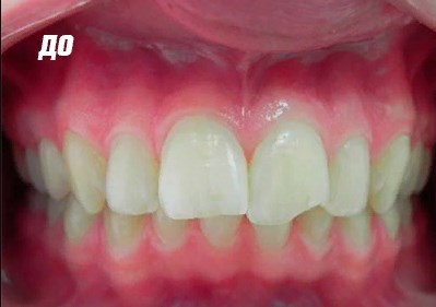
Лечение кариеса

Фото ДО
Фото ПОСЛЕ

Наведите для просмотра

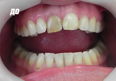
Эстетическая реставрация фронтальных зубов

Фото ДО
Фото ПОСЛЕ

Наведите для просмотра

Реставрация сколотого зуба

Фото ДО
Фото ПОСЛЕ

Наведите для просмотра

Эстетическая реставрация фронтальных зубов

Клиники, в которых принимает специалист

Клиника в г. Щелково

Консилиум врачей в подарок Получить подарок