Ежедневно с 8:00 до 21:00

+7 (495) 645-69-69

ул. Советская, д. 60

+7 (495) 104-42-00

Отдел качества

+7 (495) 801-68-68

Общий телефон

+7 (495) 645-69-69

ул. Советская, д. 60

+7 (495) 104-42-00

Отдел качества

Ежедневно с 8:00 до 21:00

Взрослая стоматология
Детская стоматология
Косметология
+7 (495) 801-68-68

Общий телефон

+7 (495) 645-69-69

ул. Советская, д. 60

+7 (495) 104-42-00

Отдел качества

Взрослая стоматология
Детская стоматология
Косметология

Съемное протезирование зубов

Красивая, здоровая, счастливая улыбка сегодня превратилась в настоящую роскошь. Очень часто сохранить зубной ряд в целости до зрелого и пожилого возраста не представляется возможным – происходит потеря зубов, которая доставляет огромный дискомфорт, причём не только физический, но и психологический.

Отсутствие зубов может значительно повышать риск развития заболеваний ротовой полости, приводить к смещению зубного ряда, что в дальнейшем потребует более серьёзного вмешательства. Именно поэтому при потере зуба или даже полной адентии, необходимо как можно скорее обратиться к опытному стоматологу. В клинике «Интердентос» в Щёлково вас ждут профессиональные доктора, которые выполнят протезирование зубов на самом высоком уровне. Мы вернём красоту вашей улыбке!

9 клиник

9 клиник

В 5 городах подмосковья:
Королёв, Мытищи, Щёлково, Пушкино и Балашиха.
с 1998 года

с 1998 года

Многолетний накопленный опыт и собственная научная база позволяет решать даже самые сложные случаи
250 тысяч пациентов

250 тысяч пациентов

Доверили нам своё здоровье.
80% из них
— пришли к нам по рекомендациям
-0

Актуальность съемных зубных протезов

Съёмное протезирование более доступно по стоимости, вследствие чего оно ничуть не теряет своей популярности. Более того, в некоторых случаях только съёмный протез способен помочь в восстановлении функциональности и эстетичности челюсти, например, при отсутствии большого количества зубов (или даже всех зубов) у пациента пожилого возраста, когда более серьёзное вмешательство, например, имплантирование, может не дать желаемого результата вследствие возрастной хрупкости костей.

Современные протезы необязательно снимать на ночь (даже если это классическая съёмная челюсть). За ними просто ухаживать, а их эстетичность очень высока, поэтому даже молодые пациенты нередко не видят проблем в том, чтобы носить именно такой протез.

Какой бы из видов протезирования вы ни выбрали, специалисты клиники «Интердентос» помогут подобрать оптимальное решение именно для вашего клинического случая.

Быстрая запись на приём

Оставьте номер телефона и администратор перезвонит Вам в течение 5 минут.

img

Спасибо!

Наши специалисты свяжутся с вами в ближайшее время.

Ежедневно с 8:00 до 21:00

+7 (495) 801-68-68

Общий телефон

+7 (495) 645-69-69

ул. Советская, д. 60

+7 (495) 104-42-00

Отдел качества

Услуги

Услуги

Наши врачи ортопеды

Все врачи

Наше оборудование

CEREC - технология художественной реставрации зубов за 2 часа

CEREC - технология художественной реставрации зубов за 2 часа

CAD/CAM система CEREC позволяет проводить лечение и протезирование зубов быстро и с высокой точностью – благодаря специальному сканеру, воспроизводящему модель зуба в 3D. CEREC Omnicam, MEDIT  i700,  PrimeScan.
Дентальный микроскоп

Дентальный микроскоп

Использование ультрасовременных дентальных микроскопов создает уникальные возможности для спасения «безнадежных зубов». Микроскопы:  Advanced,  Karl Kaps,  Carl Zeiss EXTARO 300, Prima D с вариоскопом.
3D томограф Galileos

3D томограф Galileos

Охватывает всю зубочелюстную систему, включая пазухи. А благодаря 3D-моделированию аппарат  позволяет повысить диагностическую точность и виртуально спланировать наиболее эффективное лечение.
Артикулятор

Артикулятор

Является универсальным прибором для диагностики и терапии, он имитирует жевательные движения, точно определяя анатомические особенности пациента и незаменим при изготовлении ортопедических конструкций.
Дентальный компьютерный томограф Planmeca ProMax

Дентальный компьютерный томограф Planmeca ProMax

Уникальный компьютерный томограф для качественной диагностики  и планирования лечения
Sleeper One - электронная система анестезии

Sleeper One - электронная система анестезии

Система анестезии нового поколения, объём, скорость и давление подачи препарата контролируется электронной системой. Специальные иглы обеспечивают безболезненность и снижают травматичность тканей.
Стоматологическая установка DENTSPLY SIRONA

Стоматологическая установка DENTSPLY SIRONA

Признаны стоматологами во всём мире, как наиболее совершенные и комфортные, обладающие передовыми характеристиками. Обладают наградами iF Design Gold Award и German Design Award.
Интраоральный 3D-сканер

Интраоральный 3D-сканер

3D-сканирование можно назвать новым стандартом в стоматологической практике, который становится всё более распространенным. 3D-сканер позволяет достичь высочайшей точности и качества в протезировании.

Цены на съемное протезирование зубов

Все цены

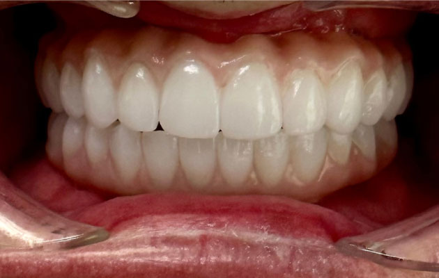
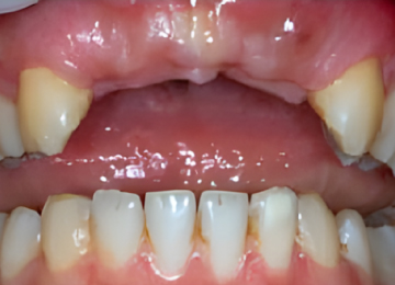
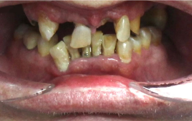
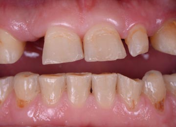
Съемное протезирование: фото До и После

Фото ДО
Фото ПОСЛЕ

Наведите для просмотра

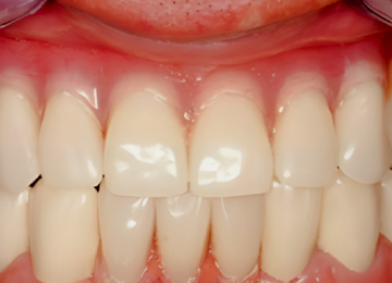
Зубные протезы Candulor

Фото ДО
Фото ПОСЛЕ

Наведите для просмотра

Зубные протезы Candulor

Фото ДО
Фото ПОСЛЕ

Наведите для просмотра

Зубные протезы Candulor

Фото ДО
Фото ПОСЛЕ

Наведите для просмотра

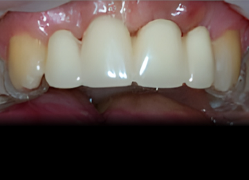
Акри Фри

Фото ДО
Фото ПОСЛЕ

Наведите для просмотра

Акри Фри

Фото ДО
Фото ПОСЛЕ

Наведите для просмотра

Акри Фри

Фото ДО
Фото ПОСЛЕ

Наведите для просмотра

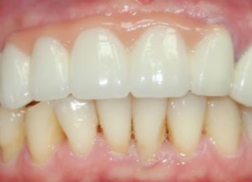
Нейлоновые протезы

Фото ДО
Фото ПОСЛЕ

Наведите для просмотра

Нейлоновые протезы

Фото ДО
Фото ПОСЛЕ

Наведите для просмотра

Нейлоновые протезы

Фото ДО
Фото ПОСЛЕ

Наведите для просмотра

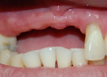
Квадротти протезы

Фото ДО
Фото ПОСЛЕ

Наведите для просмотра

Квадротти протезы

Фото ДО
Фото ПОСЛЕ

Наведите для просмотра

Квадротти протезы

Наши клиники

Клиника в г. Щелково

Наши лицензии

Лечение проводится на основании действующих медицинских лицензий Л041-01162-50/00360420 и Л041-01162-50/00367813. Это гарантирует, что все процедуры — от диагностики до реставрации — выполняются безопасно, с использованием сертифицированных материалов и оборудования, в строгом соответствии с российскими стандартами.

Л041-01162-50/00360420 Л041-01162-50/00360420

Открыть PDF
Л041-01162-50/00367813-1 Л041-01162-50/00367813

Л041-01162-50/00367813-2 Л041-01162-50/00367813

Л041-01162-50/00367813-3 Л041-01162-50/00367813

Л041-01162-50/00367813-4 Л041-01162-50/00367813

Л041-01162-50/00367813-5 Л041-01162-50/00367813

Л041-01162-50/00367813-6 Л041-01162-50/00367813

Л041-01162-50/00367813-7 Л041-01162-50/00367813

Л041-01162-50/00367813-8 Л041-01162-50/00367813

Л041-01162-50/00367813 Л041-01162-50/00367813

Открыть PDF

Разновидности съёмного протезирования зубов

Съёмные протезы часто снимаются лишь раз в несколько дней, а иногда и месяцев, чтобы их вычистили и при необходимости скорректировали. Современное протезирование предлагает следующие типы конструкций:

  • частичные – позволяют восстановить функцию и эстетичность нескольких отсутствующих в ряду зубов;
  • полные – надеваются на всю челюсть.

Для изготовления таких протезов используется нейлон – гипоаллергенный материал, который хорошо позволяет имитировать дёсны и сами зубы. К съёмным протезам пациент может привыкнуть меньше чем за неделю, они совершенно не вызывают дискомфорта, за ними просто ухаживать, а срок службы искусственного зуба может доходить до 3-4 лет.

Бюгельное протезирование – современный тип восстановления зубов

Бюгельные протезы – это один и самых популярных видов восстановления зубов в ряду, отличающийся доступной стоимостью и простотой установки. По способу крепления различают несколько типов таких протезов:

  • классические протезы закрепляются на предварительно обточенных опорных зубах специальными защёлками-крючками – это наиболее недорогой тип бюгельного протезирования зуба;
  • аттачменты, или двойные крепления, отличаются высокой надёжностью и быстрым привыканием к протезу;
  • телескопический тип крепления бюгельного протеза сегодня считается самым современным, долговечным, комфортным и безопасным типом восстановления зубов съёмными протезами; в этом случае на опорные зубы надеваются специально подготовленные коронки с замками, а на них сверху «защёлкивается» специально подогнанный именно под вас протез. Это комфортное и качественное решение, которое, впрочем, обойдётся значительно дороже своих более простых и доступных аналогов.

Как формируются цены на услуги протезирования зубов

Цены протезирования зубов в клинике «Интердентос» в Щелково рассчитываются стоматологом-ортопедом отдельно в каждом случае, причём конечная стоимость работ будет зависеть от нескольких основных факторов:

  • разновидности, типа протеза;
  • в каком количестве требуется протезирование зубов: одного, нескольких или всех;
  • из каких материалов будет изготовлена восстанавливающая конструкция;
  • насколько сложной будет работа по установке протеза и предваряющая её подготовка ротовой полости.

Если пациент нуждается в протезировании всех зубов, мы всегда готовы сделать скидку предложить наиболее выгодную стоимость и гарантию качества.

В клинике «Интердентос» будет проведено протезирование зубов по цене, наиболее приемлемой для вас, и качество протеза от этого не пострадает! Запишитесь на бесплатную консультацию ортопеда, который поможет рассчитать цену на протезирование зубов в Щелково.

Надёжное протезирование зубов в Щелково

Протезирование зубов выполняют исключительно опытные стоматологи-ортопеды, работающие по современным технологиям, с новейшим оборудованием и ультрановыми, качественными материалами. Обращаясь к нам, вы можете рассчитывать на целый комплекс процедур, обеспечивающих идеальный результат:

  • врач-ортопед бесплатно проконсультирует вас и поможет сразу выявить цену протезирования зубов в вашем индивидуально взятом случае;
  • будет проведена полная комплексная диагностика, на основании которой будет выявлен масштаб проблемы и подобраны оптимальные цены и виды протезирования зубов, подходящие именно вам;
  • перед процедурой будет проведена качественная подготовка ротовой полости: излечение кариеса, кист и других проблем ротовой полости, осуществлена шлифовка зубов, на которые будет опираться протез, при необходимости проведён синус-лифтинг и т.д.;
  • протезы будут изготовлены для вас индивидуально в лаборатории профессиональным техником;
  • протезы любой сложности будут установлены ортопедом, который также научит правильно ухаживать за конструкцией.

Такой подход позволяет нам качественно выполнять протезирование всех зубов или, например, только жевательной группы, полностью восстанавливая функциональность и эстетичность зубного ряда.

Консилиум врачей в подарок Получить подарок