Ежедневно с 8:00 до 21:00

+7 (495) 645-69-69

ул. Советская, д. 60

+7 (495) 104-42-00

Отдел качества

+7 (495) 801-68-68

Общий телефон

+7 (495) 645-69-69

ул. Советская, д. 60

+7 (495) 104-42-00

Отдел качества

Ежедневно с 8:00 до 21:00

Взрослая стоматология
Детская стоматология
Косметология
+7 (495) 801-68-68

Общий телефон

+7 (495) 645-69-69

ул. Советская, д. 60

+7 (495) 104-42-00

Отдел качества

Взрослая стоматология
Детская стоматология
Косметология

Имплантация зубов

Имплантация – эффективный инновационный метод восстановления целостности зубного ряда. Процесс восстановления осуществляется не только в коронковой области, но и у корней. Имплантат повторяет форму корней и надежно крепится на кости.

9 клиник

9 клиник

В 5 городах подмосковья:
Королёв, Мытищи, Щёлково, Пушкино и Балашиха.
с 1998 года

с 1998 года

Многолетний накопленный опыт и собственная научная база позволяет решать даже самые сложные случаи
250 тысяч пациентов

250 тысяч пациентов

Доверили нам своё здоровье.
80% из них
— пришли к нам по рекомендациям

Возможности имплантации зубов

Съемные конструкции (например, протезы или мосты) существенно уступают современным имплантатам, поскольку они являются временным решением проблем. Основным недостатком считается отсутствие нагрузки в процессе жевания на челюстные кости.

В результате может развиться атрофия. Второй недостаток – это подвижность, способствующая тому, что конструкция изнашивается и приходит в негодность намного быстрее.

Имплантаты лишены подобных минусов, поэтому считаются оптимальной альтернативой коренным зубам.

Быстрая запись на приём

Оставьте номер телефона и администратор перезвонит Вам в течение 5 минут.

img

Спасибо!

Наши специалисты свяжутся с вами в ближайшее время.

Ежедневно с 8:00 до 21:00

+7 (495) 801-68-68

Общий телефон

+7 (495) 645-69-69

ул. Советская, д. 60

+7 (495) 104-42-00

Отдел качества

Услуги

Показать всё

Услуги

Показать всё

Врачи имплантологи

Все врачи

Наше оборудование

3D томограф Galileos

3D томограф Galileos

Охватывает всю зубочелюстную систему, включая пазухи. А благодаря 3D-моделированию аппарат  позволяет повысить диагностическую точность и виртуально спланировать наиболее эффективное лечение.
Дентальный компьютерный томограф Planmeca ProMax

Дентальный компьютерный томограф Planmeca ProMax

Уникальный компьютерный томограф для качественной диагностики  и планирования лечения
Sleeper One - электронная система анестезии

Sleeper One - электронная система анестезии

Система анестезии нового поколения, объём, скорость и давление подачи препарата контролируется электронной системой. Специальные иглы обеспечивают безболезненность и снижают травматичность тканей.
Стоматологическая установка DENTSPLY SIRONA

Стоматологическая установка DENTSPLY SIRONA

Признаны стоматологами во всём мире, как наиболее совершенные и комфортные, обладающие передовыми характеристиками. Обладают наградами iF Design Gold Award и German Design Award.

Цены на имплантацию зубов

Все цены

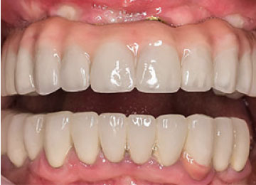
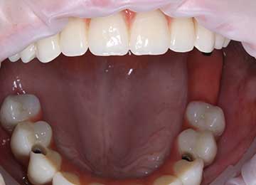
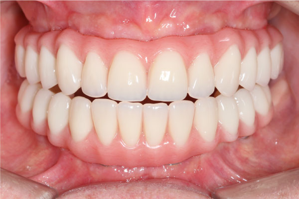
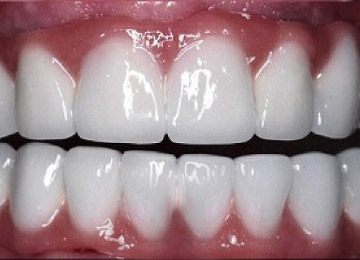
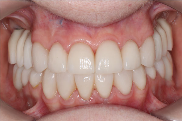
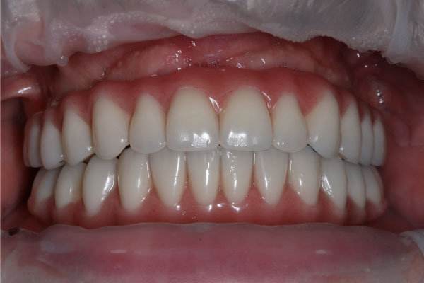
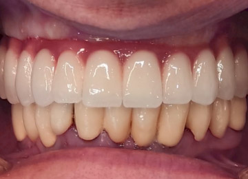
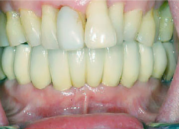
Имплантация зубов: фото «До» и «После»

Фото ДО
Фото ПОСЛЕ

Наведите для просмотра

All-on-4

Фото ДО
Фото ПОСЛЕ

Наведите для просмотра

All-on-4

Фото ДО
Фото ПОСЛЕ

Наведите для просмотра

All-on-4

Фото ДО
Фото ПОСЛЕ

Наведите для просмотра

All-on-4

Фото ДО
Фото ПОСЛЕ

Наведите для просмотра

All-on-6

Фото ДО
Фото ПОСЛЕ

Наведите для просмотра

All-on-6

Фото ДО
Фото ПОСЛЕ

Наведите для просмотра

All-on-6

Фото ДО
Фото ПОСЛЕ

Наведите для просмотра

All-on-6

Фото ДО
Фото ПОСЛЕ

Наведите для просмотра

All-on-4

Фото ДО
Фото ПОСЛЕ

Наведите для просмотра

All-on-4

Фото ДО
Фото ПОСЛЕ

Наведите для просмотра

All-on-4

Фото ДО
Фото ПОСЛЕ

Наведите для просмотра

All-on-4

Фото ДО
Фото ПОСЛЕ

Наведите для просмотра

All-on-4

Фото ДО
Фото ПОСЛЕ

Наведите для просмотра

All-on-4

Фото ДО
Фото ПОСЛЕ

Наведите для просмотра

All-on-4

Наши клиники

Клиника в г. Щелково

Наши лицензии

Лечение проводится на основании действующих медицинских лицензий Л041-01162-50/00360420 и Л041-01162-50/00367813. Это гарантирует, что все процедуры — от диагностики до реставрации — выполняются безопасно, с использованием сертифицированных материалов и оборудования, в строгом соответствии с российскими стандартами.

Л041-01162-50/00360420 Л041-01162-50/00360420

Открыть PDF
Л041-01162-50/00367813-1 Л041-01162-50/00367813

Л041-01162-50/00367813-2 Л041-01162-50/00367813

Л041-01162-50/00367813-3 Л041-01162-50/00367813

Л041-01162-50/00367813-4 Л041-01162-50/00367813

Л041-01162-50/00367813-5 Л041-01162-50/00367813

Л041-01162-50/00367813-6 Л041-01162-50/00367813

Л041-01162-50/00367813-7 Л041-01162-50/00367813

Л041-01162-50/00367813-8 Л041-01162-50/00367813

Л041-01162-50/00367813 Л041-01162-50/00367813

Открыть PDF

Показания и противопоказания

Имплантацию целесообразно проводить в следующих случаях:

  • Коренные зубы отсутствуют полностью.
  • В одном ряду нет зубов.
  • Наблюдается подвижность.
  • Возникновение дискомфортных ощущений при использовании съемных конструкций
  • Выпадение.
  • Повышенная чувствительность десен, развитие заболеваний зубов.
  • Развитие поздней стадии пародонтита.
  • Дефекты речи.
  • Нет возможности закрепить съемную конструкцию.
  • Атрофия челюсти

Противопоказания можно разделить на две группы: относительные и абсолютные.

К первой группе относят:

  • Заболевания ротовой полости.
  • ВИЧ, гепатит C.
  • Несоблюдение гигиенических процедур.
  • Развитие сахарного диабета.

Ко второй группе:

  • Заболевания иммунной, сердечно-сосудистой или дыхательной системы.
  • Злокачественные новообразования.
  • Плохая свертываемость крови.
  • Психические отклонения.
  • Гипертонус жевательной мускулатуры.

Процесс имплантации возможен только в том случае, если ротовая полость находится в хорошем состоянии, отсутствуют какие-либо заболевания. Это связано с тем, что вредные микробы могут попасти в свежие раны и вызвать развитие инфекции. Как результат, имплантаты могут не прижиться. Важно принять во внимание, что от специалиста не стоит утаивать какую-либо информацию, чтобы не навредить собственному здоровью!

Достоинства имплантации:

  • Эффективное решение эстетической задачи. Визуально имплантат с коронкой выглядит как натуральный зую, отличий практически не видно.
  • Восстановление жевательной функции, благодаря титановому стержню, который служит в качестве основы конструкции. Так как протез плотно прикрепляется к стержню, можно не опасаться, что он в процессе пережевывания сломается.
  • Возможность избежать атрофии челюстной кости, поскольку со временем ее плотность увеличивается, а подвижность уменьшается. При использовании имплантатов сохраняется оптимальная циркуляция крови, обменные процессы проходят в том же ритме, поэтому иных патологий не возникает.
  • Длительный срок эксплуатации. При должном обращении имплантаты могут использоваться на протяжении всей жизни, в то время как съемные конструкции приходится менять или чинить каждые несколько лет.
  • Нет необходимости обтачивать здоровые зубы, находящиеся рядом.
  • Имплантат фиксируется надежно, поэтому не придется испытывать скованность и переживать, что он выпадет во время разговора или в процессе жевания.
  • Уход легок и не требует большого количества времени.
  • Удастся раз и навсегда забыть о том, что такое зубная боль.
Консилиум врачей в подарок Получить подарок