Ежедневно с 8:00 до 21:00

+7 (495) 645-69-69

ул. Советская, д. 60

+7 (495) 104-42-00

Отдел качества

+7 (495) 801-68-68

Общий телефон

+7 (495) 645-69-69

ул. Советская, д. 60

+7 (495) 104-42-00

Отдел качества

Ежедневно с 8:00 до 21:00

Взрослая стоматология
Детская стоматология
Косметология
+7 (495) 801-68-68

Общий телефон

+7 (495) 645-69-69

ул. Советская, д. 60

+7 (495) 104-42-00

Отдел качества

Взрослая стоматология
Детская стоматология
Косметология

Профилактика зубов детям

Профилактика детских зубов - самый простой и надёжный способ избежать серьёзного лечения в будущем. У детей кариес развивается стремительно: то, что вчера было маленькой «точкой», очень быстро превращается в глубокий дефект, боль и необходимость сложных процедур. Обычно родители обращаются только тогда, когда проблема уже серьёзная, именно поэтому ребёнок сталкивается со страхом стоматологов, длительным лечением и неприятными ощущениями, которых можно было бы избежать.

9 клиник

9 клиник

В 5 городах подмосковья:
Королёв, Мытищи, Щёлково, Пушкино и Балашиха.
с 1998 года

с 1998 года

Многолетний накопленный опыт и собственная научная база позволяет решать даже самые сложные случаи
250 тысяч пациентов

250 тысяч пациентов

Доверили нам своё здоровье.
80% из них
— пришли к нам по рекомендациям
-0

Регулярная гигиена и профилактические осмотры занимают всего 20–30 минут, проходят спокойно и комфортно, и главное - дают нам возможность увидеть проблему в самом начале или вовсе не позволить ей появиться. Такой подход защищает зубы ребёнка, снижает расходы на лечение и помогает сохранить положительное отношение к стоматологу.

Когда вы приводите ребёнка на профилактический осмотр, вы защищаете его от боли, стресса и сложных процедур. Это самый мягкий, простой и эффективный путь к здоровой детской улыбке.

Что рекомендуем проходить регулярно:

  • профилактический осмотр детского стоматолога,
  • профессиональная гигиена полости рта,
  • герметизация фиссур,
  • фторирование.

Быстрая запись на приём

Оставьте номер телефона и администратор перезвонит Вам в течение 5 минут.

img

Спасибо!

Наши специалисты свяжутся с вами в ближайшее время.

Ежедневно с 8:00 до 21:00

+7 (495) 801-68-68

Общий телефон

+7 (495) 645-69-69

ул. Советская, д. 60

+7 (495) 104-42-00

Отдел качества

Услуги

Услуги

Врачи направления

Все врачи

Цены на профилактику детских зубов

Все цены

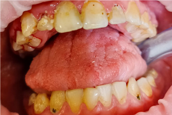
Профилактика: фото До и После

Фото ДО
Фото ПОСЛЕ

Наведите для просмотра

Профессиональная гигиена молочных зубов

Наши клиники

Клиника в г. Щелково

Наши лицензии

Лечение проводится на основании действующих медицинских лицензий Л041-01162-50/00360420 и Л041-01162-50/00367813. Это гарантирует, что все процедуры — от диагностики до реставрации — выполняются безопасно, с использованием сертифицированных материалов и оборудования, в строгом соответствии с российскими стандартами.

Л041-01162-50/00360420 Л041-01162-50/00360420

Открыть PDF
Л041-01162-50/00367813-1 Л041-01162-50/00367813

Л041-01162-50/00367813-2 Л041-01162-50/00367813

Л041-01162-50/00367813-3 Л041-01162-50/00367813

Л041-01162-50/00367813-4 Л041-01162-50/00367813

Л041-01162-50/00367813-5 Л041-01162-50/00367813

Л041-01162-50/00367813-6 Л041-01162-50/00367813

Л041-01162-50/00367813-7 Л041-01162-50/00367813

Л041-01162-50/00367813-8 Л041-01162-50/00367813

Л041-01162-50/00367813 Л041-01162-50/00367813

Открыть PDF

Профилактика детских зубов - самый простой и надёжный способ избежать серьёзного лечения в будущем. У детей кариес развивается стремительно: то, что вчера было маленькой «точкой», очень быстро превращается в глубокий дефект, боль и необходимость сложных процедур. Обычно родители обращаются только тогда, когда проблема уже серьёзная, именно поэтому ребёнок сталкивается со страхом стоматологов, длительным лечением и неприятными ощущениями, которых можно было бы избежать.

Регулярная гигиена и профилактические осмотры занимают всего 20–30 минут, проходят спокойно и комфортно, и главное - дают нам возможность увидеть проблему в самом начале или вовсе не позволить ей появиться. Такой подход защищает зубы ребёнка, снижает расходы на лечение и помогает сохранить положительное отношение к стоматологу.

Когда вы приводите ребёнка на профилактический осмотр, вы защищаете его от боли, стресса и сложных процедур. Это самый мягкий, простой и эффективный путь к здоровой детской улыбке.

Что рекомендуем проходить регулярно:

  • профилактический осмотр детского стоматолога,
  • профессиональная гигиена полости рта,
  • герметизация фиссур,
  • фторирование.
Консилиум врачей в подарок Получить подарок