Ежедневно с 8:00 до 21:00

+7 (495) 645-69-69

ул. Советская, д. 60

+7 (495) 104-42-00

Отдел качества

+7 (495) 801-68-68

Общий телефон

+7 (495) 645-69-69

ул. Советская, д. 60

+7 (495) 104-42-00

Отдел качества

Ежедневно с 8:00 до 21:00

Взрослая стоматология
Детская стоматология
Косметология
+7 (495) 801-68-68

Общий телефон

+7 (495) 645-69-69

ул. Советская, д. 60

+7 (495) 104-42-00

Отдел качества

Взрослая стоматология
Детская стоматология
Косметология

Лечение зубов

Состояние зубов - это вопрос не только внешнего вида и комфорта человека. Здоровье ротовой полости отчасти определяет и состояние всего организма. Кроме того, яркая здоровая улыбка давно стала одним из основных средств коммуникации. К сожалению, иммунитет большинства современных людей не способен нейтрализовать опасные для зубов факторы, и поэтому без своевременной помощи хорошего стоматолога не обойтись.

9 клиник

9 клиник

В 5 городах подмосковья:
Королёв, Мытищи, Щёлково, Пушкино и Балашиха.
с 1998 года

с 1998 года

Многолетний накопленный опыт и собственная научная база позволяет решать даже самые сложные случаи
250 тысяч пациентов

250 тысяч пациентов

Доверили нам своё здоровье.
80% из них
— пришли к нам по рекомендациям
-0

Преимущества лечения зубов в «Интердентос»

В первую очередь, наш медицинский центр отличается высоким качеством услуг. Мы прекрасно отдаем себе отчет в том, что терпеть зубную боль и ухудшающееся состояние здоровья недопустимо, при этом ситуации в жизни бывают разные, и оплатить услуги стоматолога на 100% получается далеко не всегда. Мы оказываем широкий спектр качественных стоматологических услуг и обеспечиваем пациента возможностью оплатить лечение зубов в рассрочку.

Многие помнят старые стоматологические кабинеты: серые, примитивно оснащенные, с сотрудниками, работающими без анестезии. К счастью, такое положение дел осталось далеко в прошлом, и теперь вы можете забыть о болезненном лечении – медицинский центр «Интердентос» докажет вам, что стоматолог поможет справиться с болью, не причиняя её.

Быстрая запись на приём

Оставьте номер телефона и администратор перезвонит Вам в течение 5 минут.

img

Спасибо!

Наши специалисты свяжутся с вами в ближайшее время.

Ежедневно с 8:00 до 21:00

+7 (495) 801-68-68

Общий телефон

+7 (495) 645-69-69

ул. Советская, д. 60

+7 (495) 104-42-00

Отдел качества

Услуги

Услуги

Врачи направления

Все врачи

Наше оборудование

CEREC - технология художественной реставрации зубов за 2 часа

CEREC - технология художественной реставрации зубов за 2 часа

CAD/CAM система CEREC позволяет проводить лечение и протезирование зубов быстро и с высокой точностью – благодаря специальному сканеру, воспроизводящему модель зуба в 3D. CEREC Omnicam, MEDIT  i700,  PrimeScan.
Дентальный микроскоп

Дентальный микроскоп

Использование ультрасовременных дентальных микроскопов создает уникальные возможности для спасения «безнадежных зубов». Микроскопы:  Advanced,  Karl Kaps,  Carl Zeiss EXTARO 300, Prima D с вариоскопом.
3D томограф Galileos

3D томограф Galileos

Охватывает всю зубочелюстную систему, включая пазухи. А благодаря 3D-моделированию аппарат  позволяет повысить диагностическую точность и виртуально спланировать наиболее эффективное лечение.
Дентальный компьютерный томограф Planmeca ProMax

Дентальный компьютерный томограф Planmeca ProMax

Уникальный компьютерный томограф для качественной диагностики  и планирования лечения
Sleeper One - электронная система анестезии

Sleeper One - электронная система анестезии

Система анестезии нового поколения, объём, скорость и давление подачи препарата контролируется электронной системой. Специальные иглы обеспечивают безболезненность и снижают травматичность тканей.
ICON - лечение кариеса без препарирования

ICON - лечение кариеса без препарирования

ICON - специальный препарат в виде геля, который наносится на участок зуба и глубоко проникает в его ткани, уничтожая кариозные образования и укрепляя ткани зуба.
SAF - революция в лечении зубных каналов

SAF - революция в лечении зубных каналов

Самоадаптирующийся файл из сплава никеля и титана - эффективен в самых сложных случаях лечения каналов, максимально сохраняет здоровые ткани и форму каналов.
Стоматологическая установка DENTSPLY SIRONA

Стоматологическая установка DENTSPLY SIRONA

Признаны стоматологами во всём мире, как наиболее совершенные и комфортные, обладающие передовыми характеристиками. Обладают наградами iF Design Gold Award и German Design Award.

Цены на лечение зубов

Все цены

Лечение зубов: фото До и После

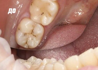
Фото ДО
Фото ПОСЛЕ

Наведите для просмотра

Лечение кариеса

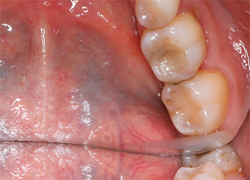
Фото ДО
Фото ПОСЛЕ

Наведите для просмотра

Лечение кариеса

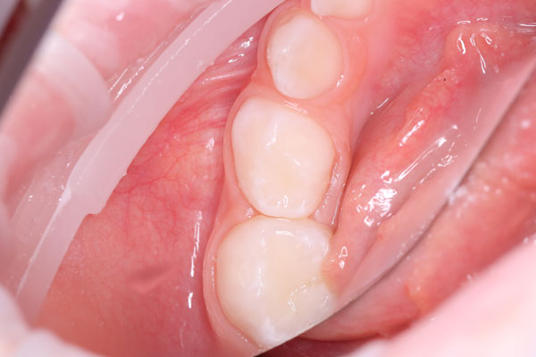
Фото ДО
Фото ПОСЛЕ

Наведите для просмотра

Лечение кариеса

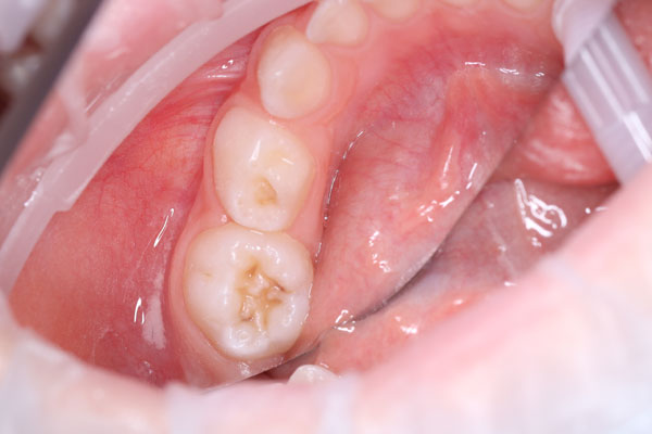
Фото ДО
Фото ПОСЛЕ

Наведите для просмотра

Лечение пульпита

Фото ДО
Фото ПОСЛЕ

Наведите для просмотра

Лечение пульпита

Фото ДО
Фото ПОСЛЕ

Наведите для просмотра

Лечение пульпита

Фото ДО
Фото ПОСЛЕ

Наведите для просмотра

Лечение пульпита

Фото ДО
Фото ПОСЛЕ

Наведите для просмотра

Лечение пульпита

Фото ДО
Фото ПОСЛЕ

Наведите для просмотра

Лечение кариеса

Фото ДО
Фото ПОСЛЕ

Наведите для просмотра

Лечение кариеса

Фото ДО
Фото ПОСЛЕ

Наведите для просмотра

Лечение пульпита

Фото ДО
Фото ПОСЛЕ

Наведите для просмотра

Лечение кариеса

Фото ДО
Фото ПОСЛЕ

Наведите для просмотра

Лечение кариеса

Фото ДО
Фото ПОСЛЕ

Наведите для просмотра

Лечение кариеса

Фото ДО
Фото ПОСЛЕ

Наведите для просмотра

Лечение кариеса

Наши клиники

Клиника в г. Щелково

Наши лицензии

Лечение проводится на основании действующих медицинских лицензий Л041-01162-50/00360420 и Л041-01162-50/00367813. Это гарантирует, что все процедуры — от диагностики до реставрации — выполняются безопасно, с использованием сертифицированных материалов и оборудования, в строгом соответствии с российскими стандартами.

Л041-01162-50/00360420 Л041-01162-50/00360420

Открыть PDF
Л041-01162-50/00367813-1 Л041-01162-50/00367813

Л041-01162-50/00367813-2 Л041-01162-50/00367813

Л041-01162-50/00367813-3 Л041-01162-50/00367813

Л041-01162-50/00367813-4 Л041-01162-50/00367813

Л041-01162-50/00367813-5 Л041-01162-50/00367813

Л041-01162-50/00367813-6 Л041-01162-50/00367813

Л041-01162-50/00367813-7 Л041-01162-50/00367813

Л041-01162-50/00367813-8 Л041-01162-50/00367813

Л041-01162-50/00367813 Л041-01162-50/00367813

Открыть PDF

Посещать стоматолога следует регулярно

Статистика неумолима и когда речь заходит о стоматологии, она говорит нам о том, что из 10 человек, живущих на территории нашей страны, профилактику заболеваний зубов и ротовой полости осуществляет только один. Такие данные печальны, поскольку эффективная и своевременная профилактика могла бы помочь этим условным 9 людям избежать большинства проблем с зубами.

К сожалению, многие не придают здоровью ротовой полости никакого значения ровно до тех пор, пока зубы не заболят. Конечно же, так поступать не стоит. Гораздо разумнее посещать стоматолога регулярно. Специалисты считают, что делать это нужно не менее двух раз в год, то есть 1 раз в 6 месяцев.

Профилактика важна ещё и потому, что не все проблемы можно заметить самостоятельно. Таким образом, не ощущая и не видя развивающееся заболевание, можно запросто довести его до состояния запущенного. Не стоит забывать и о том, что своевременно выявленная проблема устраняется намного проще, быстрее и дешевле, в абсолютном большинстве случаев - безболезненно.

Благодаря тому, что в процессе диагностики мы используем современные, эффективные методы, в том числе, проводим исследования зубов с помощью микроскопа, что позволяет выявлять возникающие сложности ещё на ранних этапах развития.

Необходимо обратиться за помощью в нашу клинику, если:

Если до профилактического визита к стоматологу ещё есть время, а состояние зубов и ощущения в ротовой полости вас не тревожат, то спешить незачем. Однако есть такие симптомы, которые говорят о необходимости посетить стоматолога немедленно:

  • Кровоточивость десен. Заметить следы крови на зубной щетке совершенно несложно.
  • Болевые ощущения при контакте с горячей или холодной пищей.
  • Болевые ощущения под коронкой, вне зависимости от степени интенсивности. В контексте данной ситуации нужно понимать, что правильно установленная коронка не доставляет болевых ощущений. Если вы их всё-таки испытываете, значит, требуется её замена и правильная установка.

Основные преимущества лечения зубов в Щелково

Главное преимущество нашей клиники – добросовестные, внимательные и ответственные врачи, настоящие профессионалы своего дела. Другими положительными особенностями работы постоянные клиенты справедливо считают:

  • качественное лечение зубов без малейших болевых ощущений;
  • первичная консультация – бесплатная;
  • система скидок для постоянных клиентов;
  • индивидуальный подход к каждой проблеме;
  • достойные условия лечения, диагностики и приема для взрослых и маленьких пациентов;
  • возможность использования эффективной и безвредной анестезии в случае возникновения соответствующей необходимости.

Наши пациенты получают расширенную гарантию качества. Так, если в обычной, государственной поликлинике гарантия на оказанные стоматологические услуги чаще не превышает 12 месяцев, то у нас гарантийный срок равен 24 месяцам. Всё потому, что мы работаем на совесть, и в подтверждение этого предоставляем внушительную гарантию качества. Для того чтобы записаться на приём, звоните или оставляйте заявку на нашем сайте!

Консилиум врачей в подарок Получить подарок