Ежедневно с 8:00 до 21:00

+7 (495) 645-69-69

ул. Советская, д. 60

+7 (495) 104-42-00

Отдел качества

+7 (495) 801-68-68

Общий телефон

+7 (495) 645-69-69

ул. Советская, д. 60

+7 (495) 104-42-00

Отдел качества

Ежедневно с 8:00 до 21:00

Взрослая стоматология
Детская стоматология
Косметология
+7 (495) 801-68-68

Общий телефон

+7 (495) 645-69-69

ул. Советская, д. 60

+7 (495) 104-42-00

Отдел качества

Взрослая стоматология
Детская стоматология
Косметология

Несъемное протезирование зубов

Несъемное протезирование зубов в стоматологической клинике «Интердентос» в Щелково позволяет полностью или частично восстановить зубной ряд, используя самые актуальные способы.

Конструкции будут выполнять свои функции и долго служить, когда для их изготовления применяются инновационные материалы и высокотехнологичное оборудование. При данных способах несъемные зубные протезы надежно устанавливаются в полости рта, восстанавливая потерянные зубы. Мы используем прочные, долговечные и неприхотливые в уходе материалы. Все наши пациенты после установки несъемных протезов сразу начинают принимать в пищу любимые продукты, не испытывая сложностей в жевании и гигиене.

В отличие от съемных конструкций, несъемные зубные протезы не требуют обработки специальными составами, хорошо переносят перепады температур. Для обработки полости рта подходят ирригаторы.

Показаниями для установки несъемных зубных протезов являются полное или частичное удаление зубов, изменения в костных структурах челюсти. В каждом случае подбор материалов и техник исполнения проводится индивидуально. Исключительно важно провести качественную диагностику. Предварительный расчет стоимости услуг можно заказать по телефону или на нашем сайте.

9 клиник

9 клиник

В 5 городах подмосковья:
Королёв, Мытищи, Щёлково, Пушкино и Балашиха.
с 1998 года

с 1998 года

Многолетний накопленный опыт и собственная научная база позволяет решать даже самые сложные случаи
250 тысяч пациентов

250 тысяч пациентов

Доверили нам своё здоровье.
80% из них
— пришли к нам по рекомендациям
-0

У нас работают стоматологи – хирурги, которые профессионально проводят оценку разрушений зубных структур и лечение с применением качественного обезболивания. Первичный осмотр и консультацию мы проводим бесплатно в течение нескольких минут. Хирург расскажет какие способы протезирования подходят в вашем случае, порекомендует виды несъемных зубных протезов.

Красивая улыбка на долгие годы стоит затраченных усилий! Если вам подходят наши методики, проводится полноценная диагностика с выполнением КТ, рентгеновских снимков и цифрового компьютерного моделирования. Запишитесь на прием в нашу клинику, мы подберем удобное время посещения!

Быстрая запись на приём

Оставьте номер телефона и администратор перезвонит Вам в течение 5 минут.

img

Спасибо!

Наши специалисты свяжутся с вами в ближайшее время.

Ежедневно с 8:00 до 21:00

+7 (495) 801-68-68

Общий телефон

+7 (495) 645-69-69

ул. Советская, д. 60

+7 (495) 104-42-00

Отдел качества

Услуги

Услуги

Стоматологи ортопеды

Все врачи

Наше оборудование

CEREC - технология художественной реставрации зубов за 2 часа

CEREC - технология художественной реставрации зубов за 2 часа

CAD/CAM система CEREC позволяет проводить лечение и протезирование зубов быстро и с высокой точностью – благодаря специальному сканеру, воспроизводящему модель зуба в 3D. CEREC Omnicam, MEDIT  i700,  PrimeScan.
Дентальный микроскоп

Дентальный микроскоп

Использование ультрасовременных дентальных микроскопов создает уникальные возможности для спасения «безнадежных зубов». Микроскопы:  Advanced,  Karl Kaps,  Carl Zeiss EXTARO 300, Prima D с вариоскопом.
3D томограф Galileos

3D томограф Galileos

Охватывает всю зубочелюстную систему, включая пазухи. А благодаря 3D-моделированию аппарат  позволяет повысить диагностическую точность и виртуально спланировать наиболее эффективное лечение.
Артикулятор

Артикулятор

Является универсальным прибором для диагностики и терапии, он имитирует жевательные движения, точно определяя анатомические особенности пациента и незаменим при изготовлении ортопедических конструкций.
Дентальный компьютерный томограф Planmeca ProMax

Дентальный компьютерный томограф Planmeca ProMax

Уникальный компьютерный томограф для качественной диагностики  и планирования лечения
Sleeper One - электронная система анестезии

Sleeper One - электронная система анестезии

Система анестезии нового поколения, объём, скорость и давление подачи препарата контролируется электронной системой. Специальные иглы обеспечивают безболезненность и снижают травматичность тканей.
Стоматологическая установка DENTSPLY SIRONA

Стоматологическая установка DENTSPLY SIRONA

Признаны стоматологами во всём мире, как наиболее совершенные и комфортные, обладающие передовыми характеристиками. Обладают наградами iF Design Gold Award и German Design Award.
Интраоральный 3D-сканер

Интраоральный 3D-сканер

3D-сканирование можно назвать новым стандартом в стоматологической практике, который становится всё более распространенным. 3D-сканер позволяет достичь высочайшей точности и качества в протезировании.

Цены на несъемные зубные протезы

Все цены

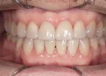
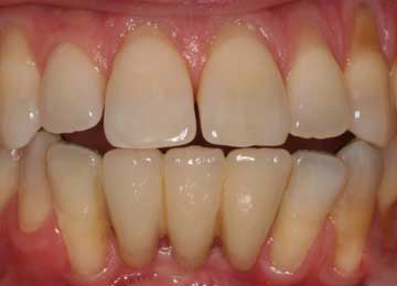
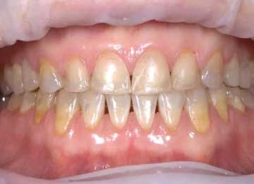
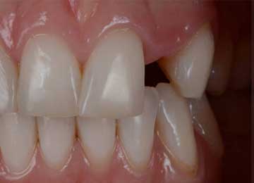
Несъемное протезирование: фото До и После

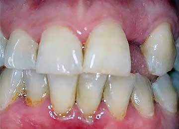
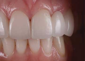
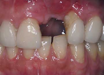
Фото ДО
Фото ПОСЛЕ

Наведите для просмотра

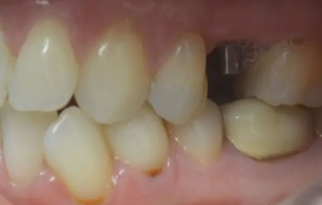
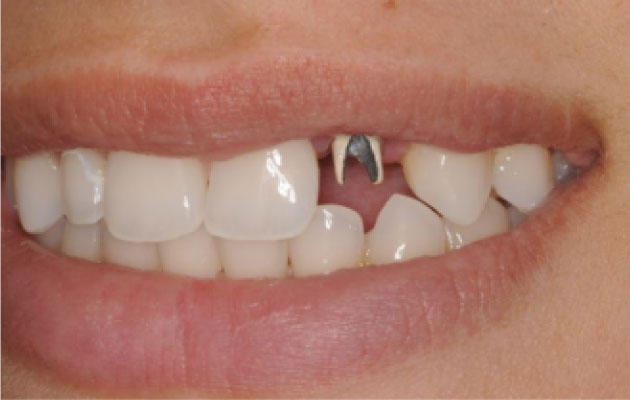
Коронка на имплант

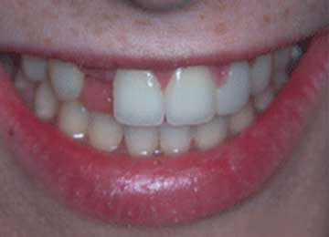
Фото ДО
Фото ПОСЛЕ

Наведите для просмотра

Коронка на имплант

Фото ДО
Фото ПОСЛЕ

Наведите для просмотра

Коронка на имплант

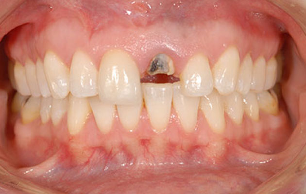
Фото ДО
Фото ПОСЛЕ

Наведите для просмотра

Коронки

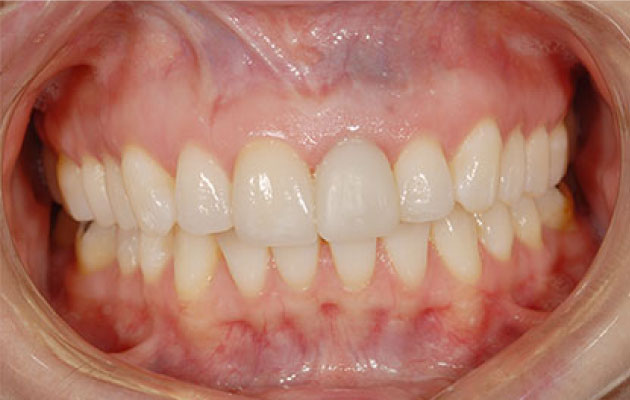
Фото ДО
Фото ПОСЛЕ

Наведите для просмотра

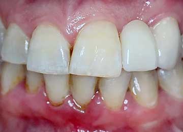
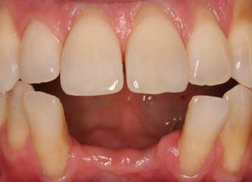
Мостовидный протез

Фото ДО
Фото ПОСЛЕ

Наведите для просмотра

Мостовидный протез

Фото ДО
Фото ПОСЛЕ

Наведите для просмотра

Мостовидный протез

Фото ДО
Фото ПОСЛЕ

Наведите для просмотра

Мостовидный протез

Фото ДО
Фото ПОСЛЕ

Наведите для просмотра

Мостовидный протез

Наши клиники

Клиника в г. Щелково

Наши лицензии

Лечение проводится на основании действующих медицинских лицензий Л041-01162-50/00360420 и Л041-01162-50/00367813. Это гарантирует, что все процедуры — от диагностики до реставрации — выполняются безопасно, с использованием сертифицированных материалов и оборудования, в строгом соответствии с российскими стандартами.

Л041-01162-50/00360420 Л041-01162-50/00360420

Открыть PDF
Л041-01162-50/00367813-1 Л041-01162-50/00367813

Л041-01162-50/00367813-2 Л041-01162-50/00367813

Л041-01162-50/00367813-3 Л041-01162-50/00367813

Л041-01162-50/00367813-4 Л041-01162-50/00367813

Л041-01162-50/00367813-5 Л041-01162-50/00367813

Л041-01162-50/00367813-6 Л041-01162-50/00367813

Л041-01162-50/00367813-7 Л041-01162-50/00367813

Л041-01162-50/00367813-8 Л041-01162-50/00367813

Л041-01162-50/00367813 Л041-01162-50/00367813

Открыть PDF

Какие виды несъемного протезирования зубов бывают

Для несъемного протезирования зубов необходимы опоры в ротовой полости. Если есть здоровые зубы на нужных местах, они и могут выступать в качестве опор. Если собственных опор нет, используется устойчивая конструкция, которая создается путем установки имплантата.

Виды несъемных зубных протезов, для которых нужны опоры:

  • Мосты (мостовидные конструкциии);
  • Коронки;
  • Виниры;
  • Вкладки.

Для установки имплантатов никаких опор не нужно.

Современная стоматология обладает такими методиками, когда полную обточку зубов можно не делать, как еще несколько десятилетий назад. В некоторых случаях только фронтальная поверхность зуба обрабатывается, например, при установке виниров.

В нашей клинике также используются методики восстановления разрушенных до основания зубов с помощью зубных вкладок. Культевые вкладки используются для реставрации зубов, материалами изготовления выступают металлокерамика или керамика. Вкладки используют еще и для реставрации коронок боковой части ряда. При имплантации для оформления опор несъемное протезирование зубов выполняют через 3-4 месяца. Инновационные импланты Штрауманн дают возможность проводить качественное протезирование уже через месяц. Существуют методики восстановления зубов при полной адентии при установке всего 4 или 6 имплантов, при этом толщина кости может быть любой.

Виниры

Иногда, при небольших повреждениях, достаточно восстановить фронтальную часть зуба. Из керамической массы по индивидуальным слепкам изготавливаются виниры, предназначенные для реставрации зубов передней зоне. Конструкции восстанавливают эстетику зубов, не удаляя их, не проводя масштабной обточки, как для установки циркониевых или металлопластиковых коронок. С винирами улыбка становится безупречной, практически по голливудским стандартам, а зубы не претерпевают большой нагрузки.

Когда показано протезирование винирами:

  • Потемнение эмали;
  • Сколы или трещины на передней части зуба;
  • Устранение щелей между передними зубами.

Виниры предохраняют зуб от появления кариеса, заболеваний пульпы и пародонта, при этом не травмируя эмаль. Эти несъемные зубные протезы обладают лучшими качествами, долговечные, прочные, отлично устраняют физические недостатки и идеально совместимы с естественными тканями. Недостатками виниров являются только ограниченные возможности для установки, зависящие от степени повреждения. При сильных разрушениях зуба используются другие методы протезирования.

Вкладки

Вкладки при несъемном протезировании зубов помогают при значительных повреждениях, когда даже установка большой пломбы не дает ожидаемого результата. Коронковая часть зуба может быть восстановлена даже при повреждениях зуба до 30-50%. Также вкладки используют и в случаях имплантации для временной защиты тканей во время их заживления, при этом изготавливают такие варианты из стойкого пластика. Для постоянного ношения используют вкладки из титана и сплавов. Любители классики могут заказать вкладки из золота.

Протезирование зубов вкладками считается процедурой, повышающей эстетику, одновременно создавая опоры под мосты. Разновидностями вкладок являются культевые вкладки: конструкции для образования культи под коронку, с закреплением в зубном канале, в отличие от несъемного протеза на штифте. Преимуществом нашей клиники является своя лаборатория где опытные зубные техники работают в тесном контакте с ортопедами, изготавливая качественные несъемные зубные протезы и приспособления.

Коронки

Коронки используют при более сильном повреждении зуба, когда винирами или пломбами помочь уже нельзя. На зуб будто надевается чехол, повторяющий естественный контур, скрывающий недостатки. Коронки сохраняют все функции зубов, выглядят натурально.

Материалы для изготовления коронок выбираются в соответствии с диагнозом и местонахождением единицы. На переднем плане необходимы более эстетичные материалы, это керамика или металлокерамика. Керамические изделия менее прочные, че из металлокерамики, однако обладает более важными для передних зубов эстетическими свойствами.

Плюсы металлокерамики – более высокая прочность, что важно для качественного жевания пищи. Поэтому такие материалы используют для боковых зубов. Кроме этого, для жевательных зубов возможны коронки из металлов и современных композитных материалов.

Для установки коронки на сохраненные зубы сначала подтачивают эмаль. Современные методики позволяют надевать супертонкие коронки на зуб, подточив его всего на миллиметр. Если пульпа воспалена, ее удаляют, чтобы обезопасить пациента от воспаления на будущее.

Для нескольких зубов подряд можно изготовить соединенные коронки, при условии, что несъемные зубные протезы можно закрепить за сохраненные опорные зубы. В центре протезирования «Интердентос» вам установят, как отдельные, так и соединенные коронки из различных материалов, включая диоксид циркония.

Мост несъемный (мостовидный протез)

Мостовидные несъемные протезы бывают полными или частичными. Если отсутствует два или три зуба подряд, устанавливают частичные мостовидные протезы из сверхпрочных материалов. Необходимым условием при этом является наличие опорных зубов. Если зубов нет на обеих челюстях, или полностью зубной ряд отсутствует только на верхней или нижней челюстях, применяются современные процедуры, позволяющие восстанавливать зубы, используя технологии крепления к имплантам. Материалы для имплантов и протезов подбираются индивидуально, так как они имеют разную стоимость и назначение.

Чаще всего для изготовления мостов используются те же материалы, что и для коронок – металлы, керамические смеси, сверхпрочные пластмассы и составы на основе металлов и сплавов, с добавлением пластмассы или керамики. Медицинские сплавы используются для изготовления каркаса, скрепляющего искусственные зубы на протезе.

В продаже представлены самые разные бренды, представляющие материалы для несъемных зубных протезов, поэтому стоимость конструкции может различаться. Точный просчет цены на мостовидные протезы можно получить только после консультации и осмотра.

Методики протезирования на имплантах

Методики восстановления зубов при полной адентии позволяют проводить несъемное протезирование зубов с опорой на имплантах. Мы используем инновационные методики all-on-4 и all-on-6, позволяющие восстановить качественное жевание и превосходную эстетику зубной челюсти при полной потере зубов на верхнем или нижнем ряду. Имплант устанавливается и тогда, когда отсутствует два или три зуба, а опора из естественных единиц невозможна.

Сначала устанавливают несъемные импланты, которые уже невозможно извлечь. С течением времени они становятся интегрированной частью зубочелюстной системы и не имеют срока эксплуатации. На их основе монтируется вторая часть, которую можно снимать и ремонтировать при поломках или полностью заменить.

Данные технологии популярны в нашей стране, так как без масштабного обтачивания соседних зубов и даже при отсутствии опорных зубов можно восстановить функциональность челюсти и обрести новую роскошную улыбку.

Импланты Штрауманн - протезирование из материалов нового поколения

Импланты Штрауманн, произведенные в Швейцарии, позволяют протезировать зубы при полной адентии с установкой 4 или 6 имплантов. Ноу-хау восстановления зубов и основывается на особых методиках введения имплантов в кости под углом, благодаря чему имплантат находится в кости частично, а стык импланта и коронки остается на уровне десны и не представляет возможности микробам развиваться внутри кости. Таким образом конструкция несъемных зубных протезов защищена от воспалений, вызванных попадание микробов внутрь.

Компания дает пожизненную гарантию на несъемные зубные протезы нового поколения, обучает специалистов. Материалами для изготовления имплантов служит титан, который отлично интегрируется в организме человека. Приживаемость продукта отмечается на самом высоком уровне - 99,8%. Также можно отметить ускоренную остеоинтеграцию – на нее потребуется всего 1 месяц.

Мы подбираем продукты Straumann для различных случаев индивидуально. Следите за акциями, с их помощью поставить несъемные зубные протезы можно по минимальной стоимости.

Высокотехнологичные зубные коронки «3 SHAPE» (Дания)

Совсем недавно в нашей клинике стали применяться новые инновационные технологии, представленные брендом «3 SHAPE» из Дании, а также коронки E.MAX, с использованием диоксида циркония.

Наши специалисты проходят подготовку в каждой из технологий, и могут изготовить идеальные несъемные протезы, сохраняющие все функции здоровых зубов по оптимальной стоимости. Также мы индивидуально подготовим для вас керамические виниры, вкладки, подбирая для несъемных зубных протезов подходящие материалы.

Технологии, которые связаны с необходимостью выполнять слепки, связаны с некоторыми погрешностями, и специалистам приходится быть очень внимательными, чтобы не допускать ошибок, приводящих к нарушению формы зуба, которые, в свою очередь, приводят к неправильному смыканию зубов. Ошибки при этом крайне редки, но все же встречаются.

Существуют новые компьютерные технологии, которые позволяют сканировать строение зубной челюсти и определять форму прикуса без применения гипсовых слепков. Даже после препарирования зубов такие данные безошибочно, и исключая человеческий фактор, дают 100%-ную гарантию правильности результатов.

Для современной технологии несъемного протезирования зубов «3SHAPE», разработанной в Дании, характерна возможность сканировать зубные ряды без «ручного» участия техника и ортопеда. Эта инновационная система позволяет провести исследования и выполнить идеальную конструкцию для изготовления коронок на естественные зубы и импланты. Ортопед больше не снимает оттиски, поэтому можно не переживать за их правильность и полное соответствие. Мы применяем высокоточный сканер, способный передавать изображение в естественном виде и обрабатывать исходные данные с помощью цифровых компьютерных технологий. В зуботехнической лаборатории данные переносят в плоскость фрезеровального станка и, при помощи также обработки с применением компьютерных программ, изготавливают коронки, вкладки и виниры, придавая им нужные формы. Материалам для восстановления зубов выступают диоксид циркония или E-max.

Даже минимальные ошибки в данном процессе исключаются.

Стоимость несъемных протезов для зубов

Первым и важным вопросом у пациентов, планирующих протезирование зубов, является цена.

Для определения общей стоимости важны такие параметры:

  • Вид протезирования;
  • Тип материала;
  • Объем работ, количество зубных единиц;
  • Тип и количество устанавливаемых опор из металлокерамики или диоксида циркония;
  • Общее состояние организма пациента, необходимость в дополнительном лечении.

Очевидно, что дешевле обходится изготовление и установка несъемных зубных протезов на собственные единицы, а установка имплантатов увеличивает стоимость.

Как подобрать протез?

Несъемные протезы зубов устанавливаются на длительный срок, поэтому очень важно безупречно точно провести все манипуляции. Выбирая материалы, нужно учесть не только количество зубов и место их установки, но и индивидуальные факторы, такие как состояние зубной челюсти, ее форма, наличие сопутствующих заболеваний, кариес на соседних зубах, пародонтоз, воспаление десен. Необходимость в дополнительном лечении усложняет проблему и затягивает процесс. Даже при наличии схожих проблем двум разным пациентам могут рекомендовать различные протезы.

  • При небольших дефектах передних зубов можно обойтись винирами, устойчивыми к пищевым красителям, хорошо закрывающими сколы, трещины, неровности поверхности зуба.
  • Имплантаты и последующая установка мостов используется при частичной адентии.
  • Полное отсутствие зубов корректируется с помощью методик All on 4 или All on 6.

В нашей стоматологической клинике проводится реставрация зубов верхней и нижней челюсти, которые долго служат, обладают прекрасной эстетикой и имеют превосходный функционал. К каждому пациенту мы подходим индивидуально, составляем план процедур и качественно, с большим вниманием к нюансам, проводим лечение зубов. Запишитесь на прием по телефонам, указанным на сайте, и очень скоро ваша улыбка станет снова легкой и обаятельной!

Консилиум врачей в подарок Получить подарок