Ежедневно с 8:00 до 21:00

+7 (495) 645-69-69

ул. Советская, д. 60

+7 (495) 104-42-00

Отдел качества

+7 (495) 801-68-68

Общий телефон

+7 (495) 645-69-69

ул. Советская, д. 60

+7 (495) 104-42-00

Отдел качества

Ежедневно с 8:00 до 21:00

Взрослая стоматология
Детская стоматология
Косметология
+7 (495) 801-68-68

Общий телефон

+7 (495) 645-69-69

ул. Советская, д. 60

+7 (495) 104-42-00

Отдел качества

Взрослая стоматология
Детская стоматология
Косметология

Реставрация зубов

Специалисты медицинского центра «Интердентос» в Щелково отличаются высокой квалификацией и солидным опытом работы, им по плечу самые сложные задачи! Обратившись к нам, вы окажетесь в надежных руках, и лечение пройдет без боли и дискомфорта.

9 клиник

9 клиник

В 5 городах подмосковья:
Королёв, Мытищи, Щёлково, Пушкино и Балашиха.
с 1998 года

с 1998 года

Многолетний накопленный опыт и собственная научная база позволяет решать даже самые сложные случаи
250 тысяч пациентов

250 тысяч пациентов

Доверили нам своё здоровье.
80% из них
— пришли к нам по рекомендациям
-0

Восстановление зубов от настоящих профессионалов

Современные методы, новейшее оборудование и материалы помогли шагнуть стоматологии далеко вперед. Теперь существуют материалы, которые по своим свойствам не уступают зубной эмали. Это позволяет стоматологам произвести аккуратную реставрацию зубов.

Показания для проведения процедуры реставрации:

  • после лечения кариеса с пломбированием – поможет восстановить естественный оттенок и блеск у опломбированного зуба;
  • после эндодонтического лечения удается выровнять оттенок зубной эмали;
  • если в зубном ряду отсутствует один из зубов;
  • если требуется восстановить форму зуба.

Быстрая запись на приём

Оставьте номер телефона и администратор перезвонит Вам в течение 5 минут.

img

Спасибо!

Наши специалисты свяжутся с вами в ближайшее время.

Ежедневно с 8:00 до 21:00

+7 (495) 801-68-68

Общий телефон

+7 (495) 645-69-69

ул. Советская, д. 60

+7 (495) 104-42-00

Отдел качества

Услуги

Услуги

Наши врачи

Все врачи

Наше оборудование

CEREC - технология художественной реставрации зубов за 2 часа

CEREC - технология художественной реставрации зубов за 2 часа

CAD/CAM система CEREC позволяет проводить лечение и протезирование зубов быстро и с высокой точностью – благодаря специальному сканеру, воспроизводящему модель зуба в 3D. CEREC Omnicam, MEDIT  i700,  PrimeScan.
Дентальный микроскоп

Дентальный микроскоп

Использование ультрасовременных дентальных микроскопов создает уникальные возможности для спасения «безнадежных зубов». Микроскопы:  Advanced,  Karl Kaps,  Carl Zeiss EXTARO 300, Prima D с вариоскопом.
3D томограф Galileos

3D томограф Galileos

Охватывает всю зубочелюстную систему, включая пазухи. А благодаря 3D-моделированию аппарат  позволяет повысить диагностическую точность и виртуально спланировать наиболее эффективное лечение.
Дентальный компьютерный томограф Planmeca ProMax

Дентальный компьютерный томограф Planmeca ProMax

Уникальный компьютерный томограф для качественной диагностики  и планирования лечения
Sleeper One - электронная система анестезии

Sleeper One - электронная система анестезии

Система анестезии нового поколения, объём, скорость и давление подачи препарата контролируется электронной системой. Специальные иглы обеспечивают безболезненность и снижают травматичность тканей.
Стоматологическая установка DENTSPLY SIRONA

Стоматологическая установка DENTSPLY SIRONA

Признаны стоматологами во всём мире, как наиболее совершенные и комфортные, обладающие передовыми характеристиками. Обладают наградами iF Design Gold Award и German Design Award.

Цены на восстановление зубов

Все цены

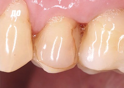
Результат восстановления зубов

Фото ДО
Фото ПОСЛЕ

Наведите для просмотра

Реставрация зубов

Фото ДО
Фото ПОСЛЕ

Наведите для просмотра

Реставрация CEREC

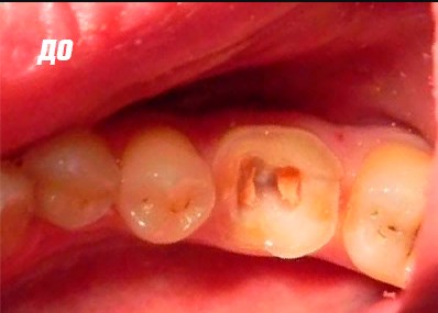
Фото ДО
Фото ПОСЛЕ

Наведите для просмотра

Реставрация CEREC

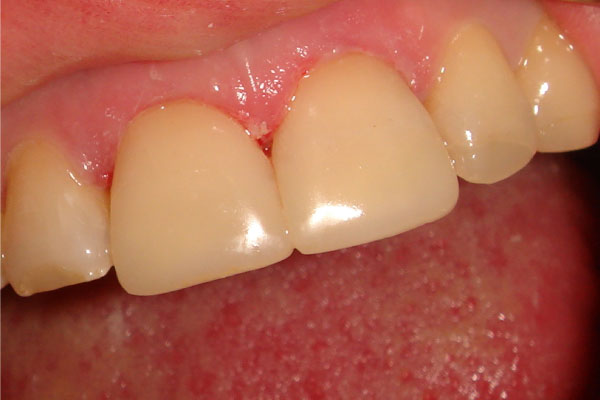
Фото ДО
Фото ПОСЛЕ

Наведите для просмотра

Реставрация жевательных зубов

Фото ДО
Фото ПОСЛЕ

Наведите для просмотра

Реставрация CEREC

Наши клиники

Клиника в г. Щелково

Наши лицензии

Лечение проводится на основании действующих медицинских лицензий Л041-01162-50/00360420 и Л041-01162-50/00367813. Это гарантирует, что все процедуры — от диагностики до реставрации — выполняются безопасно, с использованием сертифицированных материалов и оборудования, в строгом соответствии с российскими стандартами.

Л041-01162-50/00360420 Л041-01162-50/00360420

Открыть PDF
Л041-01162-50/00367813-1 Л041-01162-50/00367813

Л041-01162-50/00367813-2 Л041-01162-50/00367813

Л041-01162-50/00367813-3 Л041-01162-50/00367813

Л041-01162-50/00367813-4 Л041-01162-50/00367813

Л041-01162-50/00367813-5 Л041-01162-50/00367813

Л041-01162-50/00367813-6 Л041-01162-50/00367813

Л041-01162-50/00367813-7 Л041-01162-50/00367813

Л041-01162-50/00367813-8 Л041-01162-50/00367813

Л041-01162-50/00367813 Л041-01162-50/00367813

Открыть PDF

Преимущества реставрации

В отличие от других способов восстановления зубного ряда, реставрация имеет ряд существенных преимуществ:

  • выполняется за один, максимум два визита к специалисту;
  • материалы отличаются прочностью, эластичностью, долговечностью и надежностью;
  • скорректировать внешний вид зубного ряда можно быстро, даже при наличии трещин, сколов и иных повреждений.

Специалисты клиники «Интердентос» подбирают оттенок и прозрачность материалов таким образом, что после проведения процедуры невозможно отличить естественные зубы от отреставрированных.

Для того чтобы получить больше информации и записаться на консультацию, звоните или оставляйте заявку на сайте! Квалифицированные стоматологи восстановят поврежденные зубы, и ваша улыбка будет очаровательной!

Консилиум врачей в подарок Получить подарок