Ежедневно с 8:00 до 21:00

+7 (495) 645-69-69

ул. Советская, д. 60

+7 (495) 104-42-00

Отдел качества

+7 (495) 801-68-68

Общий телефон

+7 (495) 645-69-69

ул. Советская, д. 60

+7 (495) 104-42-00

Отдел качества

Ежедневно с 8:00 до 21:00

Взрослая стоматология
Детская стоматология
Косметология
+7 (495) 801-68-68

Общий телефон

+7 (495) 645-69-69

ул. Советская, д. 60

+7 (495) 104-42-00

Отдел качества

Взрослая стоматология
Детская стоматология
Косметология

Стоматолог детский

Степанян Анна Альбертовна

  • Проводит лечение в наркозе, в седации (закись азота)
  • Эксперт малоинвазивных технологии в детской стоматологии, лечение начального кариеса без бормашин
  • Специализируется на адаптации детей с негативным опытом.
Степанян Анна Альбертовна
Анна Альбертовна - опытный детский стоматолог с 27-летним стажем работы. Ее большой опыт позволяет детям получать качественное стоматологическое обслуживание.

В зависимости от потребности пациентов предоставляем на выбор информацию:
- Доктор владеет передовыми технологиями в лечении и восстановлении как молочных, так и постоянных зубов, обеспечивая эффективное и безопасное лечение;
- Успешно реабилитирует детей, перенесших травмы зубов, помогая им сохранить здоровье улыбки;
- Доктор имеет опыт в лечении постоянных зубов у детей с несформированными корнями, гарантируя индивидуальный подход и качественное лечение;
- Анна Альбертовна проводит стоматологическое лечение с использованием микроскопа для максимальной точности и эффективности;
- По медицинским показаниям доктор готов предложить лечение под наркозом или седацией, обеспечивая комфорт и безопасность маленьким пациентам.

Доктор всегда учитывает потребности и особенности каждого ребенка, что позволяет ей находить индивидуальный подход к каждому пациенту. Благодаря ""легкой"" руке доктора, дети чувствуют себя комфортно и безопасно во время лечения, что делает визит к стоматологу более приятным и менее страшным для маленьких пациентов.

Стаж работы

27 лет

Принимает клиниках

  • г. Королёв, ул. Терешковой 8/28
  • Клиника в г. Щелково

Специализация

  • Стоматолог детский

Сертификаты

1312
1313
1314
1315
1316
1317
1318
1319

Отзывы по врачу

Читать все отзывы

Врач: Степанян Анна Альбертовна

привожу свою дочь к Анне Альбертовне с самого раннего возраста. она всегда находит время для разговора с ребенком, объясняя ему, почему важно следить за полостью рта. процедуры проходят быстро и без слез, что для ребенка настоящее достижение! я полно...
привожу свою дочь к Анне Альбертовне с самого раннего возраста. она всегда находит время для разговора с ребенком, объясняя ему, почему важно следить за полостью рта. процедуры проходят быстро и без слез, что для ребенка настоящее достижение! я полностью доверяю своему стоматологу и рекомендую ее всем знакомым с детьми.
Показать весь отзыв

Врач: Степанян Анна Альбертовна

Анна Альбертовна — просто волшебница для детей! Мы пришли к ней с проблемой кариеса у нашего сына. Она внимательно изучила ситуацию и предложила комплексное лечение. После нескольких посещений мы заметили значительное улучшение состояния зубов. Особе...
Анна Альбертовна — просто волшебница для детей! Мы пришли к ней с проблемой кариеса у нашего сына. Она внимательно изучила ситуацию и предложила комплексное лечение. После нескольких посещений мы заметили значительное улучшение состояния зубов. Особенно мне понравилось, как она объяснила нам, как правильно чистить зубы дома. Спасибо вам огромное!
Показать весь отзыв

Врач: Степанян Анна Альбертовна

Когда мой сын начал жаловаться на зубную боль, я сразу записала его на прием к Анне Альбертовне. Она очень терпеливо выслушала его, провела обследование и предложила решение проблемы. Самое удивительное, что сын не испугался процедуры — врач смогла у...
Когда мой сын начал жаловаться на зубную боль, я сразу записала его на прием к Анне Альбертовне. Она очень терпеливо выслушала его, провела обследование и предложила решение проблемы. Самое удивительное, что сын не испугался процедуры — врач смогла успокоить его и сделать все максимально комфортно. Теперь он знает, как важно заботиться о своих зубах!
Показать весь отзыв

Врач: Степанян Анна Альбертовна

Мы с дочерью ходим к Анне Альбертовне уже несколько лет. Она настоящий профессионал, который умеет найти подход даже к самым капризным детям. Дочка всегда говорит, что ей нравится улыбаться после посещения врача! Процедуры проходят быстро и безболезн...
Мы с дочерью ходим к Анне Альбертовне уже несколько лет. Она настоящий профессионал, который умеет найти подход даже к самым капризным детям. Дочка всегда говорит, что ей нравится улыбаться после посещения врача! Процедуры проходят быстро и безболезненно, а самое главное — Анна Альбертовна объясняет все доступно и интересно, чтобы ребенок понимал важность ухода за зубами.
Показать весь отзыв

Врач: Степанян Анна Альбертовна

Ходим к нашему любимому доктору с рождения т.е. почти 7 лет. Ребенок не боится и делает все процедуры без страха и слез, даже мультики его не интересют. Очень хороший специалист, рекоммендуем....
Ходим к нашему любимому доктору с рождения т.е. почти 7 лет. Ребенок не боится и делает все процедуры без страха и слез, даже мультики его не интересют. Очень хороший специалист, рекоммендуем.
Показать весь отзыв

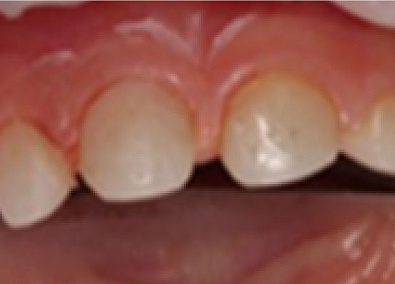
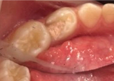
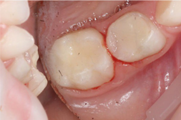
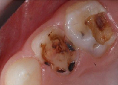
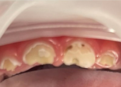
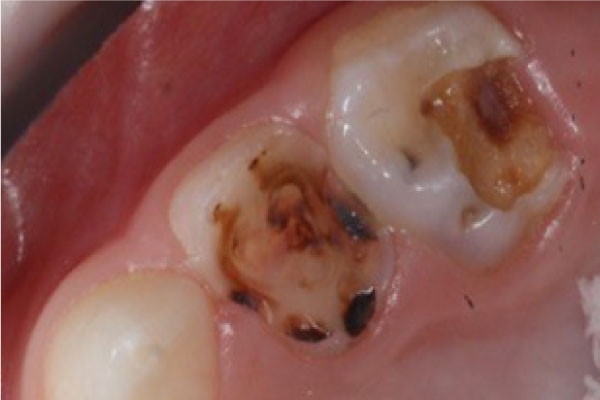
Работы врача

Фото ДО
Фото ПОСЛЕ

Наведите для просмотра

Лечение пульпита

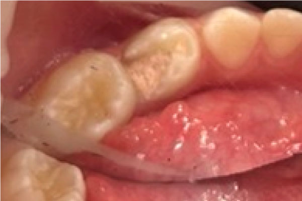
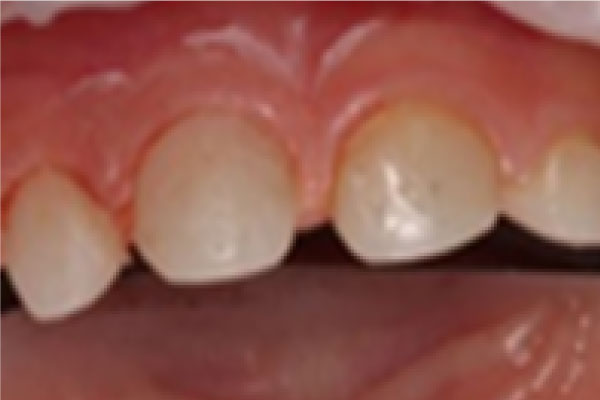
Фото ДО
Фото ПОСЛЕ

Наведите для просмотра

Лечение пульпита

Фото ДО
Фото ПОСЛЕ

Наведите для просмотра

Лечение пульпита

Фото ДО
Фото ПОСЛЕ

Наведите для просмотра

Лечение пульпита

Фото ДО
Фото ПОСЛЕ

Наведите для просмотра

Лечение пульпита

Фото ДО
Фото ПОСЛЕ

Наведите для просмотра

Лечение пульпита

Фото ДО
Фото ПОСЛЕ

Наведите для просмотра

Лечение пульпита

Фото ДО
Фото ПОСЛЕ

Наведите для просмотра

Лечение пульпита методом Экстирпации корневого канала с восстановлением светоотверждаемого композита

Фото ДО
Фото ПОСЛЕ

Наведите для просмотра

Лечение обратимого пульпита с последующим восстановлением светоотверждаемой пломбой

Фото ДО
Фото ПОСЛЕ

Наведите для просмотра

Лечение обратимого пульпита с последующим восстановлением коронками

Фото ДО
Фото ПОСЛЕ

Наведите для просмотра

Лечение обратимого пульпита с последующим восстановлением коронками

Фото ДО
Фото ПОСЛЕ

Наведите для просмотра

Лечение обратимого и необратимого пульпита с последующим восстановлением коронкой и светоотверждаемым композитом

Фото ДО
Фото ПОСЛЕ

Наведите для просмотра

Лечение необратимого пульпита с последующим восстановлением коронками

Клиники, в которых принимает специалист

Клиника экстренной помощи

Клиника в г. Щелково

Консилиум врачей в подарок Получить подарок