Ежедневно с 8:00 до 21:00

+7 (495) 645-69-69

ул. Советская, д. 60

+7 (495) 104-42-00

Отдел качества

+7 (495) 801-68-68

Общий телефон

+7 (495) 645-69-69

ул. Советская, д. 60

+7 (495) 104-42-00

Отдел качества

Ежедневно с 8:00 до 21:00

Взрослая стоматология
Детская стоматология
Косметология
+7 (495) 801-68-68

Общий телефон

+7 (495) 645-69-69

ул. Советская, д. 60

+7 (495) 104-42-00

Отдел качества

Взрослая стоматология
Детская стоматология
Косметология

Детская стоматология

Каким требованиям должна соответствовать стоматология для детей? Исходя из того, что малышам бывает сложно побороть свой страх, и логичным аргументам они не верят, можно вывести следующую формулу: обстановка в клинике должна быть комфортной, врачи – добрыми и хорошо подготовленными, не только хорошими стоматологами, но и должны уметь общаться с детьми. Мы знаем об этом и строго придерживаемся правила: доктора медицинского центра «Интердентос» находят общий язык с ребенком, и смогут помочь даже в самой непростой ситуации.⁠

9 клиник

9 клиник

В 5 городах подмосковья:
Королёв, Мытищи, Щёлково, Пушкино и Балашиха.
с 1998 года

с 1998 года

Многолетний накопленный опыт и собственная научная база позволяет решать даже самые сложные случаи
250 тысяч пациентов

250 тысяч пациентов

Доверили нам своё здоровье.
80% из них
— пришли к нам по рекомендациям
-0

Полный комплекс стоматологических услуг для малышей и подростков

Детская стоматология «Интердентос» в Щелково готова предложить самым маленьким пациентам следующий спектр услуг:

  • диагностика и профилактика детских болезней ротовой полости;
  • исправление прикуса у детей и установка всех видов пластинок и брекетов;
  • оказание помощи в устранении последствий травм;
  • восстановление молочных и коренных зубов детскими коронками;
  • безболезненное удаление зубов под безопасным наркозом;
  • пластика уздечки языка.

Быстрая запись на приём

Оставьте номер телефона и администратор перезвонит Вам в течение 5 минут.

img

Спасибо!

Наши специалисты свяжутся с вами в ближайшее время.

Ежедневно с 8:00 до 21:00

+7 (495) 801-68-68

Общий телефон

+7 (495) 645-69-69

ул. Советская, д. 60

+7 (495) 104-42-00

Отдел качества

Полный спектр услуг

Детские стоматологи

Все врачи

Наше оборудование

3D томограф Galileos

3D томограф Galileos

Охватывает всю зубочелюстную систему, включая пазухи. А благодаря 3D-моделированию аппарат  позволяет повысить диагностическую точность и виртуально спланировать наиболее эффективное лечение.
ICON - лечение кариеса без препарирования

ICON - лечение кариеса без препарирования

ICON - специальный препарат в виде геля, который наносится на участок зуба и глубоко проникает в его ткани, уничтожая кариозные образования и укрепляя ткани зуба.
SAF - революция в лечении зубных каналов

SAF - революция в лечении зубных каналов

Самоадаптирующийся файл из сплава никеля и титана - эффективен в самых сложных случаях лечения каналов, максимально сохраняет здоровые ткани и форму каналов.
Стоматологическая установка DENTSPLY SIRONA

Стоматологическая установка DENTSPLY SIRONA

Признаны стоматологами во всём мире, как наиболее совершенные и комфортные, обладающие передовыми характеристиками. Обладают наградами iF Design Gold Award и German Design Award.

Цены на детскую стоматологию

Все цены

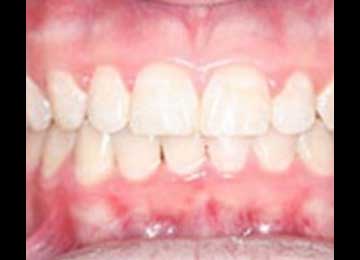
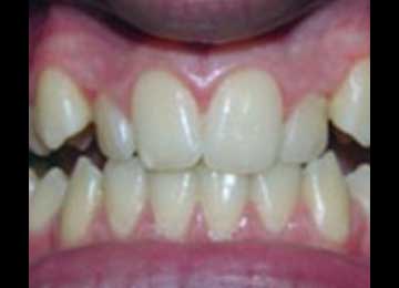
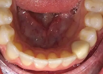
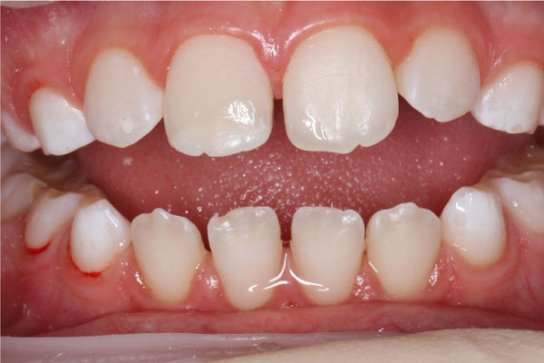
Примеры лечения зубов детям

Фото ДО
Фото ПОСЛЕ

Наведите для просмотра

Реставрация скола переднего зуба у ребенка

Фото ДО
Фото ПОСЛЕ

Наведите для просмотра

Лечение кариеса молочных зубов

Фото ДО
Фото ПОСЛЕ

Наведите для просмотра

Восстановление зуба после травмы

Фото ДО
Фото ПОСЛЕ

Наведите для просмотра

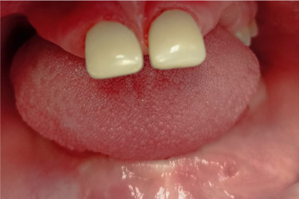
Коронки на передние молочные зубы

Фото ДО
Фото ПОСЛЕ

Наведите для просмотра

Эстетическая реставрация молочных зубов

Фото ДО
Фото ПОСЛЕ

Наведите для просмотра

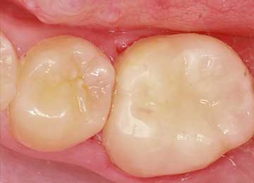
Восстановление молочного зуба

Фото ДО
Фото ПОСЛЕ

Наведите для просмотра

Капа для выравнивая зубов

Фото ДО
Фото ПОСЛЕ

Наведите для просмотра

Исправление прикуса у детей

Фото ДО
Фото ПОСЛЕ

Наведите для просмотра

Исправление прикуса у детей

Фото ДО
Фото ПОСЛЕ

Наведите для просмотра

Лечение пульпита молочных + восстановление стальной коронкой

Фото ДО
Фото ПОСЛЕ

Наведите для просмотра

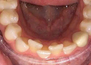
Лечение детского кариеса

Фото ДО
Фото ПОСЛЕ

Наведите для просмотра

Коронки на молочные зубы

Наши клиники

Клиника в г. Щелково

Наши лицензии

Лечение проводится на основании действующих медицинских лицензий Л041-01162-50/00360420 и Л041-01162-50/00367813. Это гарантирует, что все процедуры — от диагностики до реставрации — выполняются безопасно, с использованием сертифицированных материалов и оборудования, в строгом соответствии с российскими стандартами.

Л041-01162-50/00360420 Л041-01162-50/00360420

Открыть PDF
Л041-01162-50/00367813-1 Л041-01162-50/00367813

Л041-01162-50/00367813-2 Л041-01162-50/00367813

Л041-01162-50/00367813-3 Л041-01162-50/00367813

Л041-01162-50/00367813-4 Л041-01162-50/00367813

Л041-01162-50/00367813-5 Л041-01162-50/00367813

Л041-01162-50/00367813-6 Л041-01162-50/00367813

Л041-01162-50/00367813-7 Л041-01162-50/00367813

Л041-01162-50/00367813-8 Л041-01162-50/00367813

Л041-01162-50/00367813-9 Л041-01162-50/00367813

Детское лечение зубов в Щелково

Мы прекрасно отдаем себе отчет в том, что визит в стоматологию зачастую являет собой стресс даже для взрослых людей. Мы полностью опровергаем это устоявшееся мнение, и даже наши самые маленькие пациенты приходят к нам с улыбкой!

Каждый детский стоматолог клиники «Интердентос» является не только узкоспециализированным специалистом, но и хорошим психологом. Такой подход в комплексе с отличными условиями приема, современным оборудованием и хорошим безопасным наркозом, позволяет обеспечить максимальный уровень комфорта для маленьких пациентов. Звоните или оставляйте заявку на сайте, чтобы записаться на приём, и мы гарантируем качественное, эффективное, лечение без боли и слез!