ЛИЦЕНЗИЯ Л041-01162-50-00367813 / Л041-01162-50-00360420
Copyright © 2025 Стоматологическая клиника "Интердентос"
Отдел качества: +7 495 104-42-00

Васина Алия Зинатуллаевна

Стоматолог

Филиал: Клиника в г. Мытищи, ул. Ак.Каргина

Стаж (лет): 32

Специализация: стоматология терапевтическая

Учебное заведение: Киргизский государственный медицинский институт, 1991, стоматология, ТВ-1 № 129194

Интернатура, ординатура: Интернатура на базе Стоматологической поликлиники №1 г. Бишкек, 1992, стоматология, Повышение квалификации, рег.№ 4920, Институт усовершенствования врачей ФГУ «Национальный медико-хирургический центр им. Н.И. Пирогова», стоматология терапевтическая, 2010

Васина Алия Зинатуллаевна

Стоматолог

Дополнительное образование:
2019 - "Оказание неотложной помощи в экстренной ситуации на стоматологическом приеме"
2019 - "Профессиональная гигиена полости рта, показания и техника проведения" 3M
2018 - Цельнокерамическая реставрация. От выбора материала до фиксации.
2018 - «Изготовление Цельнокерамической реставрации с помощью CAD-CAM системы CEREC»
2018 - Применение отртодонтических капп в клинической практике врача. Система 3d Smile.
2018 - Анестезия и неотложная помощь при соматической патологии в практике врача-стоматолога Бигун А.Б.
2017 - Тренинг “Успешная консультация”. Бигун А.Б.
2017 - Совершенствование эндодонтического лечения с помощью операционного микроскопа
2016 - Неврологические расстройства в стоматологической практике
2014 - SAF - практика
2014 - 3D Systems- Galileos

Сертификаты

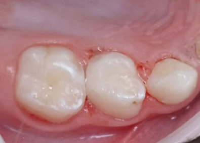
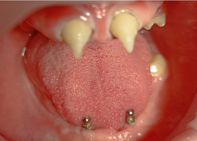
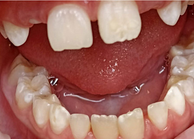
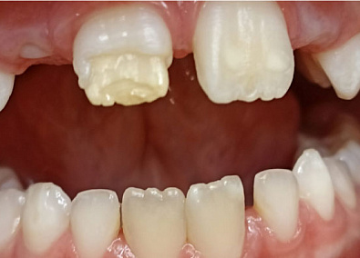
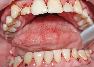
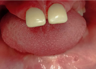
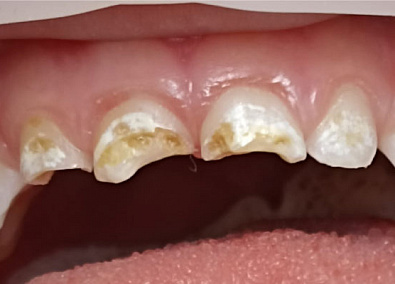
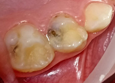
Примеры работ:

Отзывы наших пациентов:

Бесконечная благодарность врачу А.З. Васиной за профессионализм!
Пришли с ребёнком (5 лет) на удаление молочного зуба с периодонтитом. У…
Хочу выразить благодарность врачу Васиной А.З. за полную консультацию и професс…